Případ paní H. (59 let, Hanoj ) je typickým příkladem, kdy po mnoho let snášela neustálou nespavost a jen občas užívala pomůcky na spaní, aniž by si myslela, že by to mohlo být varovným signálem vážného zdravotního problému.
![]() |
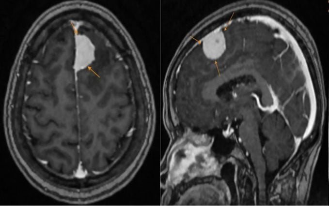
| Rentgenový snímek pacienta. |
Teprve když se bolesti hlavy staly častějšími a ovlivňovaly její každodenní život, rozhodla se podstoupit celkovou zdravotní prohlídku v nemocnici MEDLATEC.
Zde jí lékař po klinickém vyšetření a komplexním posouzení nařídil podstoupit magnetickou rezonanci (MRI) mozku, což je nejmodernější metoda k posouzení morfologie mozku.
Výsledky magnetické rezonance paní H. překvapily, když na levé straně čela objevila velký nádor o rozměrech přibližně 27x15 mm, s podezřením na meningiom. Díky včasnému odhalení lékař doporučil bezpečný a účinný intervenční plán, který omezil riziko komplikací.
Případ paní H. je důležitou připomínkou toho, že zdánlivě jednoduché poruchy, jako je dlouhodobá nespavost nebo přetrvávající bolesti hlavy, mohou být varovnými signály vážných zdravotních problémů. Včasné vyšetření pomáhá odhalit onemocnění v rané fázi, což je nejpříznivější doba pro léčbu, omezuje riziko komplikací a chrání dlouhodobé zdraví.
Meningeomy jsou nádory, které se vyvíjejí z arachnoidální vrstvy mozkových plen a tvoří přibližně 15 % mozkových nádorů. Toto onemocnění se může objevit v jakémkoli věku, ale je častější u dospělých a žen než u mužů. Většina meningeomů roste pomalu a je benigní, ale některé mohou být maligní.
Většina meningeomů postupuje tiše, bez zjevných příznaků, což pacientům ztěžuje včasnou detekci. Pokud je nádor dostatečně velký, aby stlačil mozkové struktury nebo hlavové nervy, příznaky se liší v závislosti na lokalizaci: bolest hlavy, syndrom zvýšeného nitrolebního tlaku, nespavost, zhoršené vidění, dvojité vidění, šilhání, tinnitus, ztráta sluchu, slabost nebo paralýza končetin, záchvaty, změny chování, ztráta paměti nebo poruchy spánku.
MSc. Le Quynh Son z oddělení diagnostické zobrazovací metody všeobecné kliniky MEDLATEC Cau Giay uvedl, že magnetická rezonance (MRI) a počítačová tomografie (CT) jsou předními zobrazovacími diagnostickými nástroji při hodnocení lézí mozkových nádorů. Tyto dvě techniky nejen přesně určují umístění a velikost nádoru, ale také poskytují vícerozměrný pohled na vztah mezi lézí a okolními mozkovými strukturami.
Magnetická rezonance mozku je obzvláště užitečná při určování příčiny abnormálních symptomů, jako jsou závratě, přetrvávající bolesti hlavy, svalová slabost, ztráta zraku, ztráta sluchu, epilepsie, krvácení, mozkový edém, poškození mozku v důsledku traumatu nebo mrtvice. Magnetická rezonance také pomáhá včas odhalit malé mozkové infarkty, a to ještě před objevením klinických příznaků.
Lékaři doporučují, aby případy dlouhodobých bolestí hlavy nebo nespavosti neznámé příčiny byly vyšetřeny a dále hodnoceny pomocí magnetické rezonance (MRI) nebo počítačové tomografie (CT), aby se odhalilo včasné poškození mozku, a tím se včas zasáhlo, zlepšila účinnost léčby a chránilo dlouhodobé zdraví.
Zdroj: https://baodautu.vn/u-mang-nao-benh-ly-tien-trien-am-tham-nhung-nguy-hiem-d447546.html







Komentář (0)