
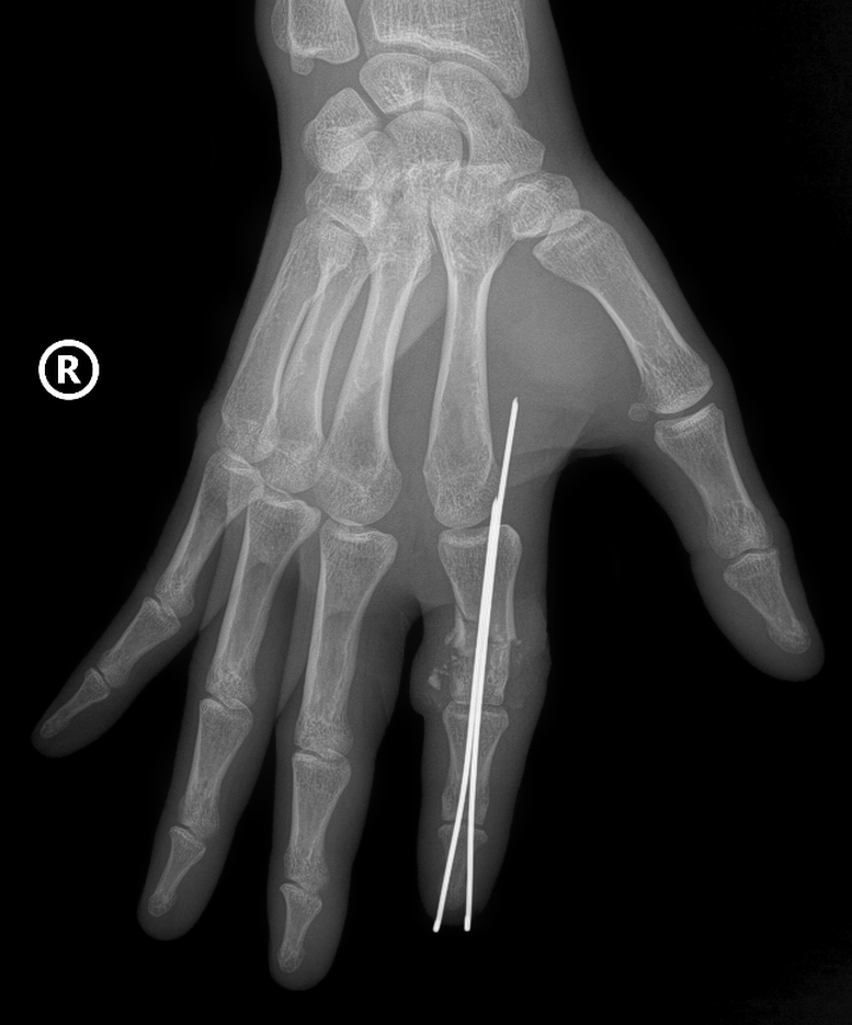
A beteg levágott ujjának megtalálása és rögzítése egy speciális tűvel - Fotó: VGP
A Viet Duc Barátság Kórház információi szerint egy óceánjáró hajón szolgálatot teljesítve, amikor a 12-es vihar lecsapott, egy matróz balesetet szenvedett berendezés javítása közben, aminek következtében levágta a jobb mutatóujját.
Szerencsére a fedélzeten tartózkodó személyzet gyorsan elsősegélyt nyújtott, és a levágott végtagot egy termoszban megőrizte, majd a beteget partra hozták, és a központi régió legközelebbi egészségügyi intézményébe vitték. Vészhelyzet esetén, miután az orvosi személyzet sürgősségi ellátásban részesítette, a beteg szerette volna, ha a levágott végtagot visszacsatolják, és úgy döntött, hogy a Viet Duc Barátság Kórházba (hanoi létesítmény) megy, hogy ezt megtegye. A vérszegénység teljes időtartama hosszú volt, akár 25 óra is lehet.
A szakértők megvizsgálták a levágott végtagot, és megállapították, hogy a levágott végtagot megfelelően kezelték és konzerválták, az ujjízületek továbbra is puhák, és a szövetszerkezet jól konzerválódott. A kórház azonnal multidiszciplináris konzultációt tartott, amely magában foglalta a plasztikai sebészetet, az érzéstelenítést és újraélesztést, valamint az ortopédiai traumatológiát, hogy optimális kezelési stratégiát dolgozzanak ki, és úgy döntöttek, hogy mikrosebészeti beavatkozást végeznek a beteg ujjának visszahelyezésére.
A műtőben a sürgősségi sebészeti csapatot számos szakterület összehangolásával vetették be: mikrosebészet, aneszteziológia, újraélesztés, ortopédia... Két sebészeti csapat vonult be párhuzamosan, az egyik csapat megtisztította és előkészítette a levágott ujjat, a másik csapat a csonkot készítette elő.
Az ujjcsontot egy speciális tűvel rögzítik és helyezik el, hogy stabil tengelyt hozzanak létre, az ín- és szalagrendszert pedig helyreállítják. Különösen az idegeket és az apró, mindössze 0,8-1 mm-es ereket állítják helyre nagy pontossággal sebészeti mikroszkóp alatt, speciális eszközökkel, hogy biztosítsák a vérkeringés helyreállítását az elvágott részben.
Ez egy olyan technika, amely a legmagasabb szintű kifinomultságot igényli, mivel ha csak egy érkapcsolat sincs nyitva, a véráramlás nem tudja táplálni az ujjbegyet, és a végtag üszkössé válik. 25 órán át tartó rekord ischaemia esetén a véráramlás mennyiségétől az ujj hőmérsékletén át az érgörcs kockázatának szabályozásáig és a perifériás keringés műtét utáni monitorozásáig minden nagyon fontos az ujj teljes regenerálódásának biztosítása érdekében.

A beteg jelenleg rehabilitáción vesz részt, hogy visszanyerje ujjainak mozgékonyságát. Fotó: VGP
Elsősegély levágott végtagok esetén
Dr. Vu Trung Truc, a Viet Duc Barátság Kórház Állcsontsebészeti, Plasztikai és Esztétikai Sebészeti Osztályának vezetőhelyettese, aki közvetlenül végezte a műtétet, megosztotta, hogy ez egy rendkívül speciális eset. Végtag-visszaillesztés esetén az elhúzódó ischaemia gyakran hatalmas akadályt jelent. A műtét előtt a beteget és a levágott testrészt gondosan ki kell vizsgálni.
Ebben az esetben a levágott végtag helyszíni megfelelő konzerválásának köszönhetően az ujjízület nem merevedett meg a megfelelő hőmérsékleten történő konzerválás miatt. További tényező, hogy az ujj szerkezete (beleértve a csontokat, a bőrt, az idegeket, az ereket) jobban ellenáll a vérszegénységnek, mint a végtag izmos része, így az ujj 25 órán át ischaemiás volt, de még mindig vissza lehetett illeszteni. Ugyanakkor a tapasztalt orvosokból és ápolókból álló csapat, valamint a szakterületek közötti jó koordináció a kórház erősségei. Ezek a fő tényezők, amelyek meghatározzák a műtét sikerét.
A műtét után a beteg sebe begyógyult, az ujja rózsaszín és teljesen élő, a beteg eltávolíthatja az öltéseket és a rögzítő tűt. Jelenleg rehabilitációs gyakorlatokat végez az ujj mozgékonyságának és érzékelésének visszanyerése érdekében.
Az orvosszakértők figyelmeztetnek, hogy az ujjak, kezek vagy más testrészek levágásával járó balesetek bármikor előfordulhatnak, ezért az embereknek megfelelő elsősegélynyújtási ismeretekkel kell rendelkezniük, mert ez a döntő tényező a végtag megmentésének képességében.
Különösen fontos, hogy a levágott végtagot semmilyen oldatban ne mossuk vagy áztassuk. Amennyiben a levágott végtag szennyezett környezetben van, ahol sok idegen tárgy van, tiszta folyó víz alatt, lehetőleg tisztított ivóvíz vagy forralt és lehűtött víz alatt mosható.
Tekerd be a végtagot tiszta gézbe/törölközőbe, tedd egy műanyag zacskóba, és kösd össze szorosan (kerüld a jéggel való közvetlen érintkezést). Helyezd a végtagot tartalmazó zacskót egy másik, jeget tartalmazó zacskóba.
Tartsa a végtagot tiszta, stabilizált hőmérsékletű környezetben, és a lehető leggyorsabban szállítsa el. Ezzel egyidejűleg vigye a sérültet a legközelebbi orvosi intézménybe kezelés és további utasítások megadása céljából.
Az embereknek nem szabad önkényesen gyógyszereket vagy fertőtlenítőszereket kezelniük vagy használniuk levágott végtagokon.
Az elsősegélynyújtási ismeretekkel való felvértezés, a helyzet nyugodt kezelése és a helyszíni megőrzés jelentősen növeli a műtét sikerességi arányát, segít a funkció és az esztétika helyreállításában, valamint csökkenti a baleseti áldozatok rokkantságának kockázatát.
HM
Forrás: https://baochinhphu.vn/vi-phau-thanh-cong-cuu-song-ngon-tay-thuy-thu-bi-dut-roi-sau-25-gio-102251209105918332.htm










Hozzászólás (0)