
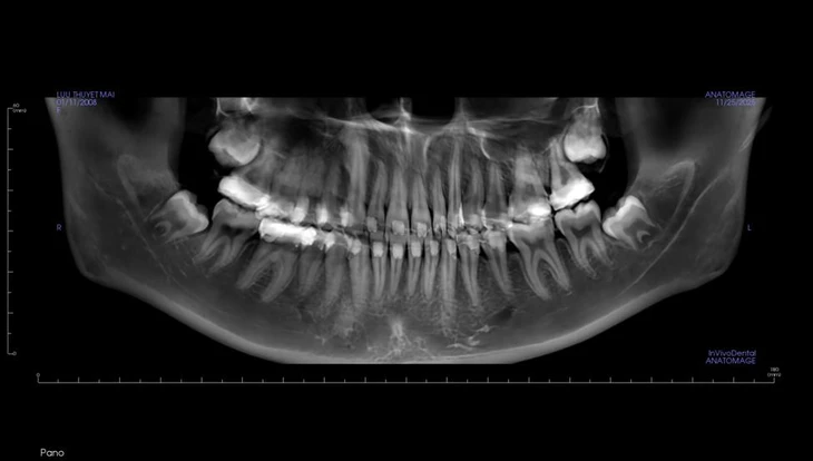
Pada X-ray, pesakit mempunyai 4 gigi geraham bungsu impak yang perlu dicabut - Foto: BSCC
Kerana apabila gigi ini tumbuh, tulang rahang telah stabil, dalam kebanyakan kes tidak ada ruang yang cukup untuk gigi bungsu untuk berkembang secara normal. Akibatnya, gigi boleh tumbuh bengkok, menyebabkan gingivitis, rongga pada gigi bersebelahan, kehilangan tulang, atau sakit yang berpanjangan di kawasan sudut rahang.
Menurut statistik dari American Association of Maxillofacial Surgeons, lebih daripada 70% orang dewasa perlu mencabut sekurang-kurangnya satu gigi geraham. Ini adalah prosedur biasa, tetapi jika tidak dijaga dengan betul, pesakit mungkin mengalami komplikasi seperti bengkak, sakit, pendarahan, dan jangkitan pada soket gigi selepas dicabut. Jadi bagaimana untuk mencabut gigi bungsu dengan selamat dan cepat pulih?
24 jam pertama - tempoh "emas" yang menentukan penyembuhan luka
Sejurus selepas pengekstrakan gigi, badan membentuk bekuan darah di dalam soket. Ini adalah "perisai semula jadi" yang melindungi tulang dan saraf yang mendasari, membantu untuk memulakan proses penyembuhan. Jika bekuan darah tercabut dengan membilas kuat, meludah, merokok, atau minum minuman panas, pesakit mungkin mengalami soket kering - komplikasi yang menyebabkan kesakitan teruk dan melambatkan penyembuhan.
Arahan untuk penjagaan selepas pengekstrakan gigi:
- Gigit kain kasa dengan kuat selama 30-45 minit, jangan tukar kain kasa secara berterusan.
- Jangan bilas mulut anda secara berterusan, jangan merokok, jangan minum alkohol, jangan meludah. Apabila menggunakan ubat kumur antibakteria, kumur dan ludah perlahan-lahan.
- Jangan gunakan lidah anda untuk menyentuh kawasan soket gigi untuk melihat sama ada ia menyakitkan.
- Sapukan kompres sejuk ke kawasan pipi selama 15 minit pada satu masa selama 3-4 jam pertama untuk mengurangkan bengkak.
- Ambil ubat betul-betul seperti yang diarahkan oleh doktor anda, jangan naikkan atau kurangkan dos anda sendiri.
- Rehat, elakkan membongkok, jangan bersenam dengan kuat.
"Ramai orang menganggap pengekstrakan gigi hanyalah pembedahan mudah, tetapi sebenarnya 24 jam pertama adalah faktor penentu sama ada soket gigi sembuh dengan baik atau tidak."
Isnin hingga Sabtu - Hati-hati dan sabar
Selepas 48 jam, tisu lembut mula menjana semula dan bengkak secara beransur-ansur berkurangan. Walau bagaimanapun, pesakit masih memerlukan penjagaan yang sewajarnya untuk menyokong pemulihan badan.
Perkara yang perlu dilakukan:
- Selepas 2 hari, anda boleh bilas mulut anda dengan lembut dengan air garam yang dicairkan.
- Makan makanan yang lembut dan sejuk, utamakan makanan yang mudah dikunyah seperti bubur, sup, telur dan yogurt.
- Bersihkan gigi dengan lembut, elakkan daripada menyentuh soket gigi.
- Minum air secukupnya, elakkan kopi, minuman berkarbonat, dan makanan pedas.
Bilakah saya perlu berjumpa doktor tidak lama lagi?
- Bengkak tidak berkurangan atau bertambah selepas hari ke-3.
- Sakit merebak ke telinga, nafas berbau, pendarahan berat, demam.
- Kebas atau sakit luar biasa yang berlarutan untuk jangka masa yang lama.
"Sekiranya selepas tiga hari kesakitan tidak bertambah baik tetapi bertambah, itu tandanya anda perlu segera berjumpa doktor."
Selepas 1-2 minggu - Soket gigi beransur-ansur stabil tetapi jangan subjektif: Kira-kira 7-10 hari selepas pengekstrakan gigi, tisu lembut telah menutupi soket gigi. Walau bagaimanapun, tulang di dalam soket gigi masih tumbuh semula dalam tempoh 6-8 minggu akan datang. Oleh itu, walaupun tiada lagi kesakitan, pesakit tidak boleh melangkau lawatan susulan atau makan makanan keras dan kenyal terlalu awal.
Semasa pembedahan, teknologi sokongan seperti laser berkuasa rendah atau membran PRF (platelet-rich plasma) boleh membantu mempercepatkan proses penyembuhan dan mengurangkan bengkak dan kesakitan.
Komplikasi biasa dan cara mengenalinya
1. Soket kering: Sakit tajam, nafas berbau, rasa tulang kosong. Perlu kembali untuk pemeriksaan untuk mencuci soket gigi, memohon ubat anti-radang dan melegakan kesakitan.
2. Jangkitan soket gigi: Kemerahan, bengkak, kesakitan yang merebak, demam ringan, nanah. Antibiotik harus digunakan seperti yang diarahkan.
3. Kerosakan saraf: Pesakit mempunyai tanda-tanda kebas pada bibir, dagu atau lidah. Ini sering dilihat pada gigi bungsu bawah dengan akar dekat dengan saluran saraf pergigian bawah atau tertanam dalam saluran gigi bawah. Kes ini memerlukan pemantauan dan rawatan sokongan dengan vitamin 3B, laser dan langkah-langkah lain.
Kebanyakan komplikasi datang daripada subjektiviti pesakit atau kebersihan yang tidak betul. Oleh itu, anggaplah arahan doktor sebagai 'preskripsi' untuk penjagaan selepas pembedahan.
Nota untuk kumpulan pesakit khas
Pesakit yang menghidap penyakit asas seperti diabetes, penyakit jantung, tekanan darah tinggi, dsb. perlu dikawal penyakitnya sebelum diekstrak. Selepas pembedahan, gula dalam darah perlu dipantau dan ubat-ubatan asas tidak boleh dihentikan sendiri.
Wanita hamil: Pengekstrakan gigi tidak boleh dilakukan dalam tempoh tiga bulan pertama dan terakhir kehamilan. Masa paling selamat ialah semasa trimester kedua. Sekiranya ubat diperlukan, ia mesti ditetapkan secara khusus oleh doktor.
Warga emas: Penyembuhan lebih perlahan kerana peredaran darah yang lemah. Ambil suplemen vitamin C, makan protein yang cukup, dan kembali untuk temu janji susulan.
Lima kesilapan biasa selepas cabut gigi geraham
1. Berkumur dengan air garam pekat: Menyebabkan kesakitan dan melarutkan bekuan darah.
2. Minum air panas atau makan bubur panas: Larutkan bekuan darah dan hentikan pendarahan.
3. Menghentikan ubat awal: Menyebabkan keradangan berulang.
4. Menggunakan daun atau ubat-ubatan rakyat sendiri: Boleh membawa kepada jangkitan serius dengan mudah.
5. Tidak kembali untuk pemeriksaan seperti yang dijadualkan: Komplikasi tidak dikesan dengan segera, jadi jika komplikasi berlaku, masalah menjadi lebih serius.
Pengekstrakan gigi kebijaksanaan yang berjaya bukan sahaja bergantung pada kemahiran doktor, tetapi juga pada kerjasama dan pemahaman pesakit. Oleh itu, pesakit perlu mengikut arahan doktor.
Cegah komplikasi sebelum pengekstrakan
Untuk mengelakkan komplikasi selepas pengekstrakan gigi, anda perlu memberi perhatian dan lakukan perkara berikut: (1) Periksa dan ambil 3D Cone Beam CT untuk menentukan kedudukan gigi dan saraf, seterusnya meramal kaedah pembedahan serta mencegah komplikasi. (2) Bersihkan mulut anda dengan teliti sebelum pembedahan untuk mengurangkan bakteria. (3) Maklumkan kepada doktor anda tentang sejarah perubatan anda dan ubat-ubatan yang anda ambil. (4) Pastikan fikiran anda santai, dapatkan tidur yang cukup, dan makan makanan ringan sebelum perahan.
Dengan penyediaan yang betul, pengekstrakan gigi bungsu hari ini adalah cepat, selamat, dan pesakit biasanya pulih dengan baik dalam beberapa hari sahaja.
Kita kena faham betul-betul supaya tak takut cabut gigi bungsu. Pengekstrakan gigi bungsu tidak semenakutkan seperti yang disangkakan ramai, walaupun semua campur tangan pembedahan telah menyembunyikan kejadian yang tidak dijangka.
Untuk mengelakkan komplikasi selepas cabut gigi, masalahnya bukanlah "sukar atau senang cabut gigi", tetapi pemahaman dan kerjasama pesakit. Sikap proaktif, pematuhan arahan dan lawatan susulan yang tepat pada masanya akan membantu proses pemulihan menjadi cepat, lembut dan selamat. Pemahaman adalah ubat terbaik untuk membantu anda mengelakkan komplikasi selepas pengekstrakan gigi bungsu.
Sumber: https://tuoitre.vn/bac-si-huong-dan-tranh-sai-lam-sau-nho-rang-khon-vi-khach-den-muon-nhieu-phien-toai-20251202090123812.htm






Komen (0)