
Medan han var i tjänst på ett oceangående fartyg som färdades genom Vietnams centrala hav, råkade den 38-årige herr D., en sjöman på ett oceangående fartyg, ut för en allvarlig olycka. Storm nr 12 nådde land, vilket fick fartyget att gunga våldsamt medan herr D. reparerade utrustning. Den plötsliga nedslaget orsakade att hans högra pekfinger avskars.
Lyckligtvis utförde besättningen ombord snabbt första hjälpen och förvarade den avhuggna lemmen i en termos, förde honom i land och till närmaste sjukvårdsinrättning i centrala regionen. Vid denna tidpunkt var stormen mycket kraftig, att få Mr. D. i land var verkligen svårt och krävde stort stöd från den nationella sök- och räddningstjänsten.
I nödsituationen, efter att ha fått första hjälpen av sjukvårdspersonal, ville herr D. få sin avhuggna lem återfästad, så han och hans familj bestämde sig för att ta det tidigaste flyget från Da Nang till Hanoi tidigt på morgonen den 22 oktober till Viet Duc Friendship Hospital. Den totala tiden för anemin var upp till 25 timmar.
På Viet Duc Friendship Hospital utvärderade experter den avhuggna lemmen och noterade: den avhuggna lemmen hade fått första hjälpen och konserverats korrekt, fingerlederna var fortfarande mjuka och vävnadsstrukturen var välbevarad.
Sjukhuset höll omedelbart en tvärvetenskaplig konsultation som inkluderade kosmetisk plastikkirurgi, anestesi och återupplivning samt ortopediskt trauma för att komma fram till en optimal behandlingsstrategi och beslutade att utföra mikrokirurgi för att återfästa patientens finger.
I operationssalen var det akutkirurgiska teamet utplacerat med tvärvetenskaplig samordning: mikrokirurgi, anestesi och återupplivning, ortopediskt trauma, etc.

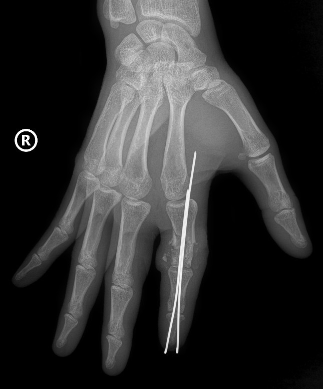
Två kirurgiska team sattes in parallellt, ett team rengjorde och förberedde det avhuggna fingret, det andra teamet förberedde stumpen. Fingerbenet positionerades och fixerades med en specialnål för att skapa en stabil axel, sen- och ligamentsystemet återställdes.
I synnerhet restaureras nerver och små blodkärl på endast cirka 0,8–1 mm med hög precision under ett kirurgiskt mikroskop med specialverktyg för att säkerställa återställning av blodcirkulationen till den avskurna delen.
Detta är en teknik som kräver högsta möjliga sofistikering, eftersom om bara en blodkärlsförbindelse inte är öppen kan inte blodet ge näring åt fingertoppen och extremiteten blir nekrotisk.
Vid rekordischemi som varar i 25 timmar, från mängden blodperfusion till fingertemperaturen, kontroll av risken för vasospasm och övervakning av postoperativ perifer cirkulation för att säkerställa fullständig återhämtning av fingret.

Dr. Vu Trung Truc, biträdande chef för avdelningen för maxillofacial, plastik- och estetisk kirurgi på Viet Duc Friendship Hospital, som utförde operationen själv, berättade att detta är ett extremt speciellt fall. Vid återfästning av extremiteter är långvarig ischemi ofta ett stort hinder. Före operationen måste patienten och den avskurna kroppsdelen utvärderas av ett team av erfarna tvärvetenskapliga läkare.
"I det här fallet, tack vare korrekt bevarande av den avhuggna extremiteten på platsen, stelnade inte fingerleden till på grund av att den bevarades vid rätt temperatur. En annan faktor är att fingerstrukturen (inklusive: ben, hud, nerver, blodkärl) har förmågan att motstå anemi bättre än extremiteten med fler muskler, så fingret var anemiskt i 25 timmar men kunde fortfarande fästas igen."
Samtidigt är teamet av erfarna läkare och god samordning mellan specialiteter också sjukhusets styrkor. Dessa är de viktigaste faktorerna som avgör operationens framgång, säger Dr. Truc.
Efter operationen har såret läkt, fingret är rosa och helt levande, patienten kan få stygnen borttagna och fixeringsnålen borttagen. Patienten genomgår rehabiliteringsövningar för att återfå rörligheten och känseln i fingret.
Olyckor med avskurna fingrar, händer eller kroppsdelar kan inträffa när som helst, från arbetsolyckor och hushållsolyckor till olyckor till sjöss som fallet med Mr. H.
Därför rekommenderar experter att människor behöver utrusta sig med korrekt kunskap om första hjälpen, eftersom detta är den avgörande faktorn för möjligheten att rädda en lem.
Därför är det viktigaste att inte tvätta eller blötlägga den avskurna lemmen i någon lösning. Om den avskurna lemmen befinner sig i en smutsig miljö med många främmande föremål kan den sköljas under rent rinnande vatten, helst renat dricksvatten eller kokt vatten som har kylts ner.

Vira in lemmen i ren gasbinda/handduk, lägg den i en nylonpåse och knyt den ordentligt (undvik direktkontakt med is); placera påsen som innehåller lemmen i en annan påse med is; förvara lemmen i en ren, temperaturstabil miljö och transportera den så snabbt som möjligt.
Offret måste tas till närmaste vårdinrättning för behandling och ytterligare instruktioner. Behandla dig inte själv och använd inte läkemedel eller desinfektionsmedel på den avskurna extremiteten.
Att vara utrustad med kunskaper i första hjälpen, hantera situationen lugnt och bibehålla den direkt på platsen ökar avsevärt framgångsgraden för operationer, hjälper till att återställa funktion och estetik samt minskar risken för funktionsnedsättning för olycksoffer.
Källa: https://nhandan.vn/hoi-sinh-cho-ngon-tay-mot-thuy-thu-sau-25-gio-bi-dut-roi-post928917.html










Kommentar (0)