Відрізаний палець був дуже добре збережений.
38-річного пацієнта чоловічої статі, моряка океанського судна, було доставлено до лікарні В'єт Дук Френдшип ( Ханой ) з відірваним вказівним пальцем правої руки внаслідок нещасного випадку, отриманого під час роботи на судні в центральному прибережному регіоні.

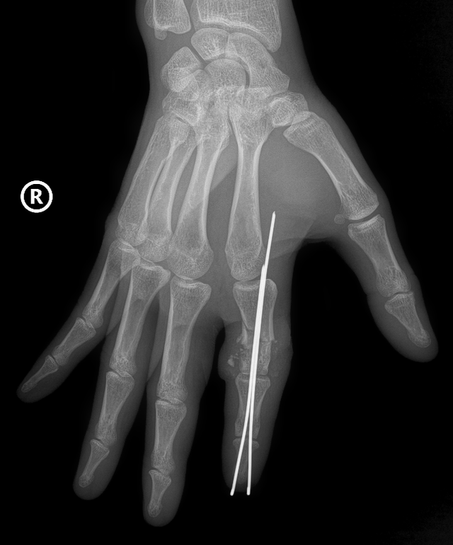
Рентгенівське зображення відрізаного правого вказівного пальця 38-річного моряка, яке знаходять та фіксують за допомогою спеціальної голки.
ФОТО: BICH NGOC
Отримуючи пацієнта, лікарі оцінили, що відірвану кінцівку було належним чином оброблено та збережено, суглоби пальців залишилися м’якими, а структура тканин добре збережена.
Бригада екстреної трансплантації пальців була розгорнута з координацією багатьох спеціальностей: мікрохірургія, анестезія, реанімація, ортопедична травматологія...
Дві хірургічні бригади були задіяні паралельно: одна бригада очистила та підготувала відрізаний палець, інша бригада підготувала куксу. Кісточку пальця було встановлено та зафіксовано спеціальною голкою для створення стабільної осі, а також відновлено систему сухожиль та зв'язок.
Зокрема, нерви та дрібні кровоносні судини розміром лише близько 0,8–1 мм відновлюються з високою точністю під хірургічним мікроскопом та спеціальними інструментами, що забезпечує відновлення кровообігу в пошкодженій частині. Це техніка, яка вимагає найвищого рівня складності, оскільки якщо хоча б одне кровоносне з’єднання не відкрите, кровотік не може живити кінчик пальця, і кінцівка некротизується.
«Рекордна 25-годинна анемія вимагала від лікарів контролю ризику вазоспазму та моніторингу периферичного кровообігу після операції, щоб переконатися, що палець було збережено та повністю відновлено», – сказав доктор Ву Чунг Трук, заступник завідувача відділення щелепно-лицевої, пластичної та естетичної хірургії (Лікарня дружби В'єт Дук).
За словами доктора Трука, у випадках повторного пришивання кінцівки тривала ішемія часто є серйозною перешкодою. У цьому випадку, завдяки належному збереженню відірваної кінцівки на місці події, суглоб пальця не затвердів, оскільки його підтримували при правильній температурі.
Ще одним фактором є те, що структура пальця (включаючи кістки, шкіру, нерви та кровоносні судини) є більш стійкою до ішемії, ніж більш м’язиста кінцівка, тому палець, який був ішемізований протягом 25 годин, все ще можна пришити знову, маючи досвід та гарну координацію між спеціалістами.
Зараз, через 2 тижні після операції, рана після пересадки загоїлася, палець рожевий і повністю живий. Лікарі виконують реабілітаційні вправи, щоб допомогти моряку відновити рухливість і чутливість пальця.
Перша допомога при відірваних кінцівках
Не мийте та не замочуйте відрізану кінцівку в жодному розчині. Якщо відрізана кінцівка знаходиться в брудному середовищі з великою кількістю сторонніх предметів, її можна промити під чистою проточною водою, бажано очищеною питною водою або кип'яченою та охолодженою водою.
Оберніть кінцівку марлею або чистим рушником, покладіть її в нейлоновий мішечок і щільно зав’яжіть (уникайте прямого контакту з льодом).
Помістіть пакет з кінцівкою в інший пакет з льодом.
Зберігайте кінцівку в чистому середовищі з контрольованою температурою та транспортуйте її якомога швидше. Не торкайтеся кінцівки самостійно та не використовуйте ліки чи дезінфікуючі засоби на відрізаній кінцівці.
Доставити потерпілого до найближчого медичного закладу для отримання медичної допомоги та подальших інструкцій.
(Лікарня дружби В'єт Дук)
Джерело: https://thanhnien.vn/cuu-song-ngon-tay-thuy-thu-bi-dut-roi-sau-25-gio-185251209090728115.htm










Коментар (0)