ວັນທີ 10 ພະຈິກນີ້, ຂ່າວຈາກໂຮງໝໍມະ ໂຫສົດຈ່າវិញ ໃຫ້ຮູ້ວ່າ, ກົມປະສາດປະສາດຂອງໂຮງໝໍໄດ້ຮັບການຜ່າຕັດຢ່າງສຳເລັດຜົນໃຫ້ຄົນເຈັບ VTK (ອາຍຸ 46 ປີ, ອາໄສຢູ່ເຂດໄຕວິງເກົ່າ) ໂດຍມີເຍື່ອຫຸ້ມສະໝອງຢູ່ເນື້ອໜັງຕາເບື້ອງຊ້າຍຂະໜາດປະມານ 15x15 cm (ນ້ຳໜັກປະມານ 600 ກຣາມ).

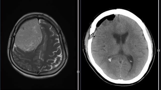
ຮູບພາບ MRI ຂອງຄົນເຈັບກ່ອນການຜ່າຕັດ (ຊ້າຍ), CT ຫຼັງຈາກການຜ່າຕັດ
ພາບ: ນ້ຳລອງ
ກ່ອນໜ້ານີ້, ຄົນເຈັບ K. ໄດ້ເຂົ້າໂຮງໝໍແລ້ວ ມີອາການປວດຫົວຮຸນແຮງ, ຮາກ ແລະ ອ່ອນເພຍຢູ່ບໍລິເວນຮ່າງກາຍເບື້ອງຊ້າຍ ເປັນເວລາປະມານ 6 ເດືອນ. ຮູບພາບ MRI ສະແດງໃຫ້ເຫັນວ່າເນື້ອງອກກໍາລັງກົດດັນຢ່າງຫນັກຕໍ່ໂຄງສ້າງຂອງສະຫມອງຂອງ hemisphere ຂວາ. ພາຍຫຼັງປຶກສາຫາລືກັບຜູ້ຊ່ຽວຊານແລະກະກຽມຢ່າງລະມັດລະວັງ, ວັນ ທີ 27 ຕຸລານີ້, ຄະນະກຳມະການຜ່າຕັດໄດ້ດຳເນີນການຜ່າຕັດເອົາເນື້ອງອກອອກທັງໝົດ. 4 ຊົ່ວໂມງຫຼັງຈາກການຜ່າຕັດ, ຄົນເຈັບຕື່ນຕົວ, ເຄື່ອນຍ້າຍແຂນຂາທັງສີ່ຢ່າງເປັນປົກກະຕິ, ຮູບພາບ CT scan ສະແດງໃຫ້ເຫັນວ່າເນື້ອງອກໄດ້ຖືກໂຍກຍ້າຍອອກຫມົດແລ້ວ. ຄົນເຈັບຫາຍດີ ແລະ ຫາຍດີພາຍຫຼັງການປິ່ນປົວ 5 ວັນ.

ເນື້ອງອກທີ່ມີນໍ້າຫນັກປະມານ 600 ກຣາມໄດ້ຖືກໂຍກຍ້າຍ.
ພາບ: ນ້ຳລອງ
ທ່ານໝໍ ເລຮ່ວາງນາມ, ຮອງຫົວໜ້າພະແນກປະສາດປະສາດ, ໂຮງໝໍທົ່ວປະເທດ Tra Vinh ແນະນຳ ວ່າ: ຜູ້ທີ່ມີອາການປວດຫົວເປັນເວລາດົນນານ, ຮາກ, ປວດຮາກ, ແຂນຂາຫຼືການປ່ຽນແປງພຶດຕິກຳ ຫຼືວິໄສທັດ ຄວນໄປພົບແພດຊ່ຽວຊານເພື່ອກວດຫາພະຍາດໂດຍໄວ.
ຄົນເຮົາບໍ່ຄວນໃຊ້ຢາແກ້ປວດຕາມໃຈມັກ ຫຼື ຊັກຊ້າການກວດສອບ ເພາະມັນສາມາດປິດບັງອາການ ແລະ ເຮັດໃຫ້ພະຍາດມີຄວາມຄືບໜ້າໄດ້.
ການສະແກນ MRI ຂອງສະຫມອງປົກກະຕິໃນຜູ້ທີ່ມີອາການທີ່ສົງໃສຈະຊ່ວຍໃຫ້ກວດພົບເນື້ອງອກໃນສະຫມອງໃນຕອນຕົ້ນ, ໂດຍສະເພາະ meningiomas - ເປັນພະຍາດທີ່ສາມາດປິ່ນປົວໄດ້ຢ່າງມີປະສິດທິພາບຖ້າແຊກແຊງໄວ.
ທີ່ມາ: https://thanhnien.vn/dau-dau-yeu-nua-nguoi-kham-benh-phat-hien-khoi-u-mang-nao-nang-600-gram-185251110162004729.htm






(0)