Ngày 24/11, Bệnh viện Phổi Nghệ An cho biết, vừa xử lý liên tiếp hai ca dị vật đường thở phức tạp, đều có biểu hiện giống bệnh hô hấp thông thường, khiến việc nhận diện ban đầu dễ bị bỏ sót.
Hai bệnh nhân thoát nguy kịch nhờ gắp dị vật đường thở kịp thời.
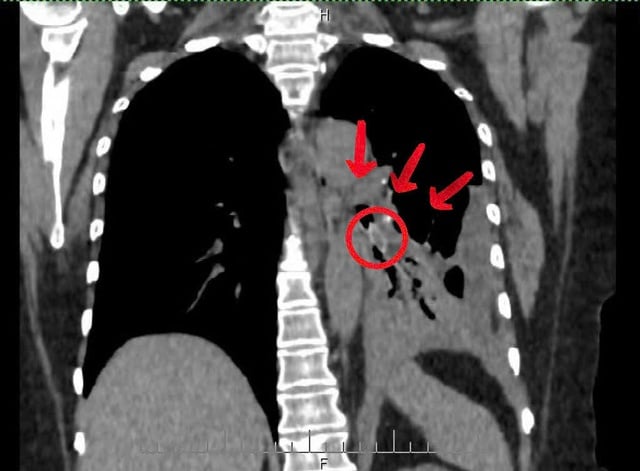
Ca thứ nhất là ông V.T.Đ. (65 tuổi, phường Quỳnh Mai, Nghệ An) nhập viện ngày 22/11 trong tình trạng khó thở, đau ngực trái. Kết quả chụp cắt lớp cho thấy có dị vật sâu trong đường thở. Ê - kíp cấp cứu phối hợp bác sĩ nội soi tiến hành can thiệp khẩn.
Qua nội soi phế quản, bác sĩ phát hiện một hạt hồng xiêm trơn bóng mắc tại phế quản phân thùy 4 - 5 trái, gây viêm mạnh và nhiều mủ trắng che kín lòng phế quản. Sau gần 30 phút thao tác tỉ mỉ, dị vật dài khoảng 2 cm đã được gắp ra an toàn.
Nội soi phế quản là phương pháp giúp phát hiện sớm và gắp dị vật an toàn, hạn chế biến chứng nguy hiểm như viêm phổi tái diễn hoặc tắc nghẽn kéo dài.
Ca thứ hai xảy ra với chị L.T.H. (29 tuổi, xã Minh Châu, Nghệ An), nhập viện ngày 17/11 vì ho kéo dài, đờm đục và đau ngực tăng dần. Tình trạng kéo dài từ tháng 8 sau một bữa ăn nhưng do có tiền sử hen, triệu chứng dễ bị nhầm sang cơn kịch phát, khiến chị đi khám, điều trị nhiều nơi nhưng không cải thiện.
Hình ảnh trước và sau gắp dị vật là mảnh xương dài hơn 1 cm trong phế quản bệnh nhân L.T.H.
Qua nội soi phế quản, các bác sĩ phát hiện một mảnh xương dài hơn 1 cm bít gần hoàn toàn phế quản thùy dưới phổi phải. Dị vật được lấy ra thành công, người bệnh hồi phục nhanh sau đó.
Theo Bệnh viện Phổi Nghệ An, mỗi năm đơn vị tiếp nhận hàng trăm ca dị vật đường thở với biểu hiện dễ nhầm lẫn với bệnh lý hô hấp phổ biến. Nội soi phế quản là phương pháp giúp phát hiện sớm và gắp dị vật an toàn, hạn chế biến chứng nguy hiểm như viêm phổi tái diễn hoặc tắc nghẽn kéo dài.
BSCKI Nguyễn Thị Hằng, Trưởng Khoa Nội 1, Bệnh viện Phổi Nghệ An khuyến cáo, người dân cần ăn chậm, nhai kỹ, tránh cười nói khi ăn để giảm nguy cơ hóc sặc; đồng thời đi khám chuyên khoa khi xuất hiện các triệu chứng bất thường để được xử trí kịp thời.
Nguồn: https://suckhoedoisong.vn/hai-benh-nhan-thoat-nguy-kich-nho-gap-di-vat-duong-tho-kip-thoi-169251124163653763.htm






Bình luận (0)