GĐXH - Después de consultar y evaluar el estado del paciente, los médicos decidieron realizar una cirugía para extirpar todo el bazo para eliminar el quiste.
Recientemente, médicos del Hospital General Xuyen A en Vinh Long anunciaron la cirugía exitosa de una paciente, PTC (53 años, Thai Binh ), con diagnóstico de esplenomegalia poliquística. La paciente fue hospitalizada debido a un dolor abdominal prolongado.
Hace un año, la Sra. C. sentía dolor en la zona costal inferior izquierda durante mucho tiempo, a menudo hinchada y con molestias abdominales. Acudió a un hospital local, donde le diagnosticaron un quiste esplénico y le recomendaron una cirugía, pero no aceptó la intervención.
Últimamente, los síntomas de dolor abdominal aparecieron con mayor frecuencia, afectando su salud y su vida, por lo que decidió acudir al hospital para un examen.

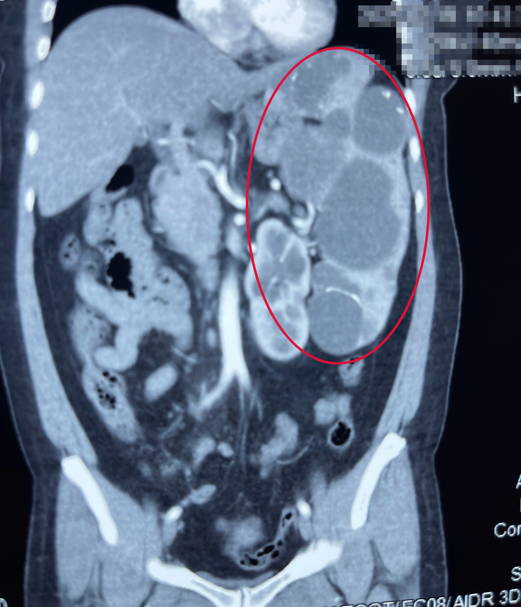
Los resultados de la tomografía computarizada abdominal muestran un agrandamiento anormal del bazo. Foto: BVCC
En la Clínica de Cirugía General, se le solicitó al paciente una tomografía computarizada abdominal. Los resultados mostraron un bazo anormalmente agrandado, que ocupaba la mayor parte del abdomen izquierdo, acompañado de numerosos quistes de gran tamaño.
Tras consultar y evaluar el estado del paciente, los médicos decidieron realizar una cirugía para extirpar todo el bazo y extraer el quiste. Dado que el bazo del paciente era demasiado grande, el médico optó por una cirugía abierta con una incisión de unos 15 cm, extirpando todo el bazo, que pesaba 1300 gramos, 40 veces más que un bazo normal (que pesa tan solo unos 32 gramos).
Tan solo un día después de la cirugía, la salud del paciente se había recuperado muy bien, y ya no presentaba dolor en las costillas inferiores, hinchazón ni molestias abdominales como antes. Además, podía moverse y comer con normalidad.

Imagen de un quiste esplénico de 1300 gramos extirpado de un paciente. Foto: BVCC
¿Se pueden prevenir los quistes esplénicos?
El quiste esplénico es una lesión poco frecuente del bazo, que afecta solo a entre el 0,5% y el 2% de la población. La causa de su formación puede ser:
Infecciones parasitarias : Causadas principalmente por pequeñas tenias de animales como perros, gatos, roedores.
No parasitario: Incluye quistes congénitos, quistes linfáticos o anomalías vasculares.
Actualmente no existen medidas preventivas específicas. Sin embargo, para reducir el riesgo de infección, se recomienda:
- Mantener la higiene personal, consumir alimentos limpios.
- Limitar la exposición a fuentes de infección parasitaria.
- Chequeos de salud periódicos para detectar anomalías de forma precoz.
[anuncio_2]
Fuente: https://giadinh.suckhoedoisong.vn/dau-tuc-vung-ha-suon-trai-nguoi-phu-nu-53-tuoi-di-kham-bat-ngo-phat-hien-u-nang-lach-khung-172250321113935652.htm






Kommentar (0)