
ຖ້າເດັກນ້ອຍໃຊ້ຈຸກຈິກເປັນເວລາດົນນານເດັກນ້ອຍຈະມີຄວາມສ່ຽງຕໍ່ການກັດເປີດ, buck ແຂ້ວ... - ຮູບພາບ
Pacifiers ໄດ້ເປັນລາຍການທີ່ນິຍົມໃນການດູແລຂອງເດັກນ້ອຍແລະເດັກນ້ອຍໄວ. ພໍ່ແມ່ຫຼາຍຄົນຖືວ່າເຂົາເຈົ້າເປັນ “ຜູ້ຊ່ອຍໃຫ້ລອດ” ທີ່ຈະຊ່ວຍໃຫ້ເດັກເຊົາຮ້ອງໄຫ້, ນອນຫຼັບງ່າຍ ແລະໃຫ້ພໍ່ແມ່ມີເວລາພັກຜ່ອນ ແລະເຮັດວຽກຫຼາຍຂຶ້ນ.
ໃນຄວາມເປັນຈິງ, ນິໄສຂອງການດູດນ້ໍາ pacifier ແມ່ນທົ່ວໄປ, ເປັນປະກົດການທໍາມະຊາດໃນເດັກນ້ອຍ. ຢ່າງໃດກໍ່ຕາມ, ສິ່ງທີ່ພໍ່ແມ່ຫຼາຍຄົນບໍ່ເຂົ້າໃຈຢ່າງສົມບູນແມ່ນວ່ານິໄສທີ່ເບິ່ງຄືວ່າບໍ່ເປັນອັນຕະລາຍນີ້ສາມາດສົ່ງຜົນກະທົບໃນໄລຍະຍາວຕໍ່ການພັດທະນາຂອງຄາງກະໄຕ, ແຂ້ວແລະໃບຫນ້າຂອງເດັກ.
ອີງຕາມສະຖິຕິສາກົນ, ເຖິງ 63% ຂອງເດັກນ້ອຍອາຍຸ 0-6 ໄດ້ໃຊ້ pacifiers. ສ່ວນໃຫຍ່ຂອງພວກເຂົາຢຸດເຊົາໃນອາຍຸ 2-4 ປີ, ແຕ່ອັດຕາສ່ວນທີ່ສໍາຄັນສືບຕໍ່ໄປສູ່ຂັ້ນຕອນຂອງແຂ້ວຖາວອນ. ຈາກທີ່ນີ້, ແຂ້ວ, ພາສາ, ຫູ, ດັງ, ຄໍແລະບັນຫາທາງຈິດໃຈເລີ່ມປາກົດ.
ຄວາມສ່ຽງຈາກນິໄສທົ່ວໄປ
ພຶດຕິກຳດູດຫົວໂປ້ມື ຫຼື ປາກເປື່ອຍ ເກີດຂຶ້ນໃນເດັກນ້ອຍສ່ວນໃຫຍ່. ໃນຕົ້ນອາທິດທີ່ 15 ຫາ 20 ຂອງການຖືພາ, fetuses ຫຼາຍຄົນໄດ້ສັງເກດເຫັນການດູດນິ້ວມືຂອງເຂົາເຈົ້າກ່ຽວກັບຮູບພາບ ultrasound. ຫຼັງຈາກເກີດ, ເດັກນ້ອຍຍັງສືບຕໍ່ຮັກສາການສະທ້ອນນີ້ເປັນການປ້ອງກັນຕົນເອງແລະ instinct ຜ່ອນຄາຍຕົນເອງ.
ການສຶກສາຈໍານວນຫຼາຍສະແດງໃຫ້ເຫັນວ່າປະມານ 63% ຂອງເດັກນ້ອຍອາຍຸ 0-6 ປີໄດ້ໃຊ້ pacifier ຢ່າງຫນ້ອຍຫນຶ່ງຄັ້ງ. ອັດຕາສູງສຸດແມ່ນຕົກຢູ່ໃນອາຍຸ 0-2 ປີ, ຫຼັງຈາກນັ້ນຄ່ອຍໆຫຼຸດລົງແຕ່ຍັງມີຢູ່ໃນເດັກນ້ອຍທີ່ສູງອາຍຸບາງຄົນ.
ປົກກະຕິແລ້ວ, ເດັກນ້ອຍຈະປະຖິ້ມນິໄສນີ້ໃນອາຍຸ 4 ປີ. ຖ້ານິໄສດັ່ງກ່າວສືບຕໍ່ໄປເມື່ອແຂ້ວຖາວອນເລີ່ມເຕີບໃຫຍ່ (ປະມານອາຍຸ 6 ປີ), ຄວາມສ່ຽງຕໍ່ການເປັນໂຣກ malocclusion ແລະຄວາມຜິດປົກກະຕິຂອງຄາງກະໄຕຈະເພີ່ມຂຶ້ນຢ່າງຫຼວງຫຼາຍ.
ເປັນຫຍັງເດັກນ້ອຍຈຶ່ງມັກດູດປາກ?
ຄວາມຕ້ອງການຄວາມປອດໄພ ແລະ ຄວາມສະດວກສະບາຍ: ເດັກນ້ອຍໃຊ້ເຄື່ອງດູດນົມ ຫຼືຫົວໂປ້ມືເພື່ອປອບໃຈຕົນເອງ, ໂດຍສະເພາະເມື່ອແຍກອອກຈາກພໍ່ແມ່, ປະເຊີນກັບຄົນແປກໜ້າ ຫຼືສະພາບແວດລ້ອມໃໝ່ໆ. ພຶດຕິກໍານີ້ຈະຊ່ວຍໃຫ້ເດັກນ້ອຍຫຼຸດຜ່ອນຄວາມກົດດັນແລະນອນຫລັບໄດ້ດີຂຶ້ນ.
ຜົນປະໂຫຍດທາງການແພດໃນບາງສະຖານະການ
• ລະດັບຄວາມເຈັບປວດທີ່ເພີ່ມຂຶ້ນ: Pacifiers ຊ່ວຍຫຼຸດຜ່ອນຄວາມບໍ່ສະບາຍໃນລະຫວ່າງຂັ້ນຕອນທາງການແພດເລັກນ້ອຍ.
• ຊ່ວຍໃຫ້ນອນຫລັບ: ໃນເດັກນ້ອຍອາຍຸ 1-4 ປີ, ການດູດຊືມດ້ວຍເຄື່ອງອັດລົມຊ່ວຍຫຼຸດອັດຕາການເຕັ້ນຂອງຫົວໃຈໃນເວລານອນ, ເຮັດໃຫ້ນອນຫລັບໄດ້ເລິກຂຶ້ນ.
• ນໍ້າໜັກເພີ່ມຂຶ້ນໃນເດັກກ່ອນໄວອັນຄວນ: ເມື່ອລວມເຂົ້າກັບ ດົນຕີ , ຜ້າປິດປາກຈະກະຕຸ້ນໃຫ້ເດັກເກີດກ່ອນກຳນົດໃຫ້ດູດນົມ, ເພີ່ມປະສິດທິພາບການດູດຊຶມສານອາຫານ.
• ຫຼຸດຜ່ອນຄວາມສ່ຽງຂອງການເປັນໂຣກເດັກນ້ອຍຕາຍຢ່າງກະທັນຫັນ: ການຄົ້ນຄວ້າສະແດງໃຫ້ເຫັນວ່າການກະຕຸກໃນເວລານອນຊ່ວຍປ່ຽນຕໍາແຫນ່ງຂອງລີ້ນ, ເພີ່ມໂຕນຂອງກ້າມຊີ້ນຫາຍໃຈ, ແລະກະຕຸ້ນການຫາຍໃຈ - ດັ່ງນັ້ນການຫຼຸດຜ່ອນຄວາມສ່ຽງຂອງໂຣກນີ້. ຢ່າງໃດກໍຕາມ, ເນື່ອງຈາກຜົນກະທົບຂ້າງຄຽງທີ່ອາດຈະເກີດຂຶ້ນ, ພວກເຂົາເຈົ້າແນະນໍາໃຫ້ມັນພຽງແຕ່ສໍາລັບເດັກນ້ອຍອາຍຸຕ່ໍາກວ່າ 1 ປີ.

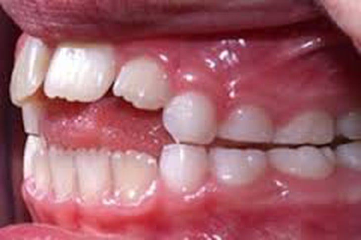
ກໍລະນີຂອງເດັກນ້ອຍທີ່ມີແຂ້ວດ້ານຫນ້າ protruding ກ່ຽວກັບ pacifier - ຮູບພາບ: BSCC
ຜົນສະທ້ອນທີ່ບໍ່ສາມາດຄາດເດົາໄດ້
ຜົນປະໂຫຍດຂ້າງເທິງນີ້ແມ່ນໄດ້ຜົນພຽງແຕ່ເມື່ອເດັກຍັງອ່ອນແລະໃຊ້ໃນເວລາສັ້ນໆ. ເມື່ອນິໄສເປັນເວລາດົນນານ, pacifiers ຈະນໍາເອົາຜົນສະທ້ອນທີ່ບໍ່ສາມາດຄາດເດົາໄດ້ຫຼາຍຕໍ່ການພັດທະນາ maxillofacial ແລະຈິດໃຈຂອງເດັກ.
ແຂ້ວ ແລະຄາງກະໄຕຜິດ
- ການກັດເປີດ: ແຂ້ວດ້ານເທິງ ແລະ ດ້ານລຸ່ມບໍ່ຈັບກັນໃນເວລາກັດ.
- ແຂ້ວດ້ານຫນ້າໂປ່ງອອກ: ແຂ້ວດ້ານຫນ້າເທິງ protrude ໄປຫນ້າ, ແຂ້ວຫນ້າລຸ່ມຫຼຸດລົງ.
– ຄາງກະໄຕແຄບ, ການກັດຂ້າມ: ຂາທຽມເຮັດໃຫ້ຄາງກະໄຕເທິງແຄບ ແລະ ແຂ້ວຂາງຜິດ.
- malocclusion ຖາວອນ: ຖ້າມັນຍັງຄົງຢູ່ຫຼັງຈາກອາຍຸ 4 ປີ, misalignments ເຫຼົ່ານີ້ສາມາດຢູ່ຕະຫຼອດຊີວິດ, ຮຽກຮ້ອງໃຫ້ມີການປິ່ນປົວຂອງ orthodontic ສະລັບສັບຊ້ອນ.
ແຂ້ວເສື່ອມ : ການໃຊ້ຢາປໍ້ານໍ້າມັນຢ່າງຕໍ່ເນື່ອງເປັນເວລາ 18 ເດືອນ ມີຄວາມສ່ຽງສູງທີ່ຈະເກີດແຂ້ວເສື່ອມ, ອາດຈະສູງເປັນສອງເທົ່າໃນກຸ່ມທີ່ບໍ່ໄດ້ໃຊ້ຢາຂີ້ເຜິ້ງ.
ການປາກເວົ້າຊັກຊ້າ ແລະ ການພັດທະນາພາສາທີ່ຈຳກັດ: ເດັກນ້ອຍທີ່ໃຊ້ຢາປາກເປື່ອຍເປັນເວລາດົນນານ ມີໂອກາດທີ່ຈະເວົ້າຊ້າກວ່າ 3 ເທົ່າ. Pacifiers ຕື່ມໃສ່ປາກ, ຈໍາກັດຄວາມສາມາດໃນການ babble ແລະຮຽນແບບສຽງ. ຜູ້ຊ່ຽວຊານຫຼາຍຄົນເຊື່ອວ່າພໍ່ແມ່ "ຊື້ຄວາມງຽບ" ໃນຄ່າໃຊ້ຈ່າຍຂອງການພັດທະນາພາສາຂອງເດັກນ້ອຍ.
ຄວາມສ່ຽງຕໍ່ການເປັນໂຣກ otitis media : ມີການສຶກສາທີ່ສະແດງໃຫ້ເຫັນວ່າການໃຊ້ pacifier ໃນເດັກນ້ອຍອາຍຸຕ່ໍາກວ່າ 4 ປີເພີ່ມຄວາມສ່ຽງຕໍ່ການເປັນໂຣກ otitis ຊໍ້າຄືນສອງເທົ່າ. ເຫດຜົນແມ່ນວ່າເຊື້ອແບັກທີເຣັຍສາມາດແຜ່ລາມໄດ້ງ່າຍຈາກດັງໄປຫາຫູກາງ.
ຜົນກະທົບທາງດ້ານຈິດໃຈ ແລະ ອາລົມ: ເດັກຊາຍທີ່ໃຊ້ເຄື່ອງຊ່ວຍກະຕຸ້ນມັກຈະມີຄວາມສາມາດໃນການເຮັດຕາມການສະແດງອອກທາງໜ້າ ແລະ ຄະແນນຄວາມສະຫຼາດທາງດ້ານອາລົມຕໍ່າກວ່າເມື່ອເປັນຜູ້ໃຫຍ່. ປະກົດການນີ້ໄດ້ຖືກປຽບທຽບກັບການສັກຢາ Botox ທີ່ເຮັດໃຫ້ກ້າມຊີ້ນຫນ້າມຶນ, ຈໍາກັດການສະແດງອອກ. ເດັກຍິງໄດ້ຮັບຜົນກະທົບຫນ້ອຍ, ອາດຈະເປັນຍ້ອນຄວາມຍືດຫຍຸ່ນໃນການພັດທະນາທາງດ້ານຈິດໃຈ.
ອາການເສບຕິດຂອງກະເພາະປັດສະວະ: ເດັກນ້ອຍອາດຈະເພິ່ງພາອາໄສ ແລະ ບໍ່ສາມາດນອນຫຼັບໄດ້ໂດຍທີ່ບໍ່ໄດ້ໃຊ້ຢາກະຕຸ້ນ. ເມື່ອພໍ່ແມ່ຖອນຕົວ, ລູກຮ້ອງໄຫ້ຢ່າງຮຸນແຮງ, ເຮັດໃຫ້ມີຄວາມຄຽດແຄ້ນທາງຈິດໃຈທັງຄອບຄົວ.
ຜົນກະທົບຕໍ່ການລ້ຽງລູກດ້ວຍນົມແມ່: ເດັກນ້ອຍສາມາດມີ "ຄວາມສັບສົນຂອງຫົວນົມ": ລີ້ນຂອງເຂົາເຈົ້າຢູ່ໃນຕໍາແຫນ່ງທີ່ບໍ່ຖືກຕ້ອງ, ເຂົາເຈົ້າປະຕິເສດການໃຫ້ນົມແມ່. ການລ້ຽງລູກດ້ວຍນົມແມ່ໜ້ອຍລົງເລື້ອຍໆເຮັດໃຫ້ແມ່ຜະລິດນໍ້ານົມໜ້ອຍ, ແລະລູກຂາດສານອາຫານທີ່ມີຄຸນຄ່າ.
- ນອກຈາກນັ້ນ, ອາດຈະມີຄວາມສ່ຽງຄື: ເດັກນ້ອຍຫາຍໃຈຍາກ ຫຼື ຫາຍໃຈຝືດ ເມື່ອປາກເປື່ອຍລົງ; ແພ້ພາດສະຕິກທີ່ໃຊ້ໃນການເຮັດໃຫ້ປາກເປື່ອຍ; ການຕິດເຊື້ອຖ້າສຸຂະອະນາໄມບໍ່ດີ.
ຈະຊ່ວຍໃຫ້ເດັກທຳລາຍນິໄສໄດ້ແນວໃດ?
ເພື່ອລົບລ້າງນິໄສຂອງການດູດຊືມ, ມີຫຼາຍວິທີທີ່ຈະເຮັດມັນ: (1) ຂັດຂວາງຢ່າງກະທັນຫັນ. (2) ພໍ່ແມ່ອະທິບາຍໃຫ້ລູກຮູ້ເຖິງຜົນຮ້າຍຂອງນິໄສ, ໝູ່ເພື່ອນອາດຫົວເຍາະເຍີ້ຍ. (3) ໃຊ້ສານທີ່ບໍ່ຫນ້າພໍໃຈກັບ pacifier. (4) ຫມໍປົວແຂ້ວຈະແນະນໍາເດັກໃຫ້ເຊົາໂດຍການອະທິບາຍແລະຂໍໃຫ້ພໍ່ແມ່ວາງສາຍເພື່ອຈູງໃຈເດັກ.
ນອກຈາກນັ້ນ, ປະຈຸບັນມີຢາ pacifiers orthodontic, ຖືກອອກແບບມາເພື່ອຈໍາກັດຜົນກະທົບທາງລົບຕໍ່ກະດູກຄາງກະໄຕ. ຢ່າງໃດກໍ່ຕາມ, ນີ້ແມ່ນພຽງແຕ່ການແກ້ໄຂຊົ່ວຄາວ, ບໍ່ແມ່ນການທົດແທນການຖອນຕົວທີ່ທັນເວລາ.
ຄໍາແນະນໍາປະຕິບັດສໍາລັບພໍ່ແມ່:
• Wean off pacifier ກ່ອນ 3-4 ປີ.
• ຮັກສາການລ້ຽງລູກດ້ວຍນົມແມ່ແຕ່ພຽງຜູ້ດຽວໃນ 6 ເດືອນທຳອິດ, ສົມທົບກັບການໃຫ້ນົມລູກຈົນຮອດອາຍຸ 2 ປີ.
• Wean ຊ້າໆ: ຫຼຸດຜ່ອນເວລາຂອງການນໍາໃຊ້ໃນລະຫວ່າງມື້, ພຽງແຕ່ໃຫ້ມັນໃຊ້ເວລານອນຫລັບ, ຫຼັງຈາກນັ້ນກໍາຈັດມັນຫມົດ.
• ໃຫ້ລາງວັນ ແລະ ຊຸກຍູ້ໃຫ້ລູກຂອງເຈົ້າມີຄວາມພາກພູມໃຈໃນການຍອມແພ້ຢາແກ້ປວດ.
• ພາລູກຂອງທ່ານໄປກວດແຂ້ວເປັນປະຈຳເພື່ອກວດຫາໂຣກ malocclusion ແຕ່ໄວ.
ບໍ່ມີການປະຕິເສດວ່າໃນຫຼາຍໆກໍລະນີ, pacifiers ເປັນ "ເຄື່ອງມືທີ່ເປັນປະໂຫຍດ" ເພື່ອຊ່ວຍໃຫ້ເດັກນ້ອຍສະຫງົບ, ບັນເທົາອາການເຈັບປວດ, ປັບປຸງການນອນ, ແລະສະຫນັບສະຫນູນເດັກນ້ອຍກ່ອນໄວອັນຄວນ. ແຕ່ຄວາມຈິງແມ່ນວ່າຜົນປະໂຫຍດພຽງແຕ່ໃຊ້ເວລາສັ້ນແລະພາຍໃຕ້ເງື່ອນໄຂທີ່ເຫມາະສົມ. ໃນເວລາທີ່ພໍ່ແມ່ຂົ່ມເຫັງຫຼືຊັກຊ້າການຫົດລູກ, pacifiers ຈະປ່ຽນຈາກ "ຫມູ່ເພື່ອນ" ເປັນ "culprits" ເຊິ່ງກໍ່ໃຫ້ເກີດຜົນສະທ້ອນໃນໄລຍະຍາວຫຼາຍຕໍ່ສຸຂະພາບແລະຄວາມງາມຂອງເດັກນ້ອຍ.
ຂໍ້ຄວາມທີ່ສໍາຄັນທີ່ສຸດແມ່ນ:
• ໃຊ້ໃນເວລາທີ່ເຫມາະສົມ (ເດັກນ້ອຍອາຍຸຕໍ່າກວ່າ 1 ປີ, ຫຼັງຈາກໃຫ້ນົມລູກດີ).
• ໃຊ້ຢ່າງຖືກຕ້ອງ (ສະອາດ, ປອດໄພ, ບໍ່ມີສາຍເຊືອກອັນຕະລາຍ).
• Wean ໃນເວລາທີ່ເຫມາະສົມ (ກ່ອນ 3-4 ປີ).
ທີ່ມາ: https://tuoitre.vn/thoi-quen-mut-num-vu-gia-va-nhung-he-luy-den-rang-mieng-ngon-ngu-tai-mui-hong-cua-tre-20251001114946802.htm






(0)