Recent, Departamentul de Afecțiuni Respiratorii și Alergologice (Spitalul Friendship) a internat un pacient de sex masculin în vârstă de 78 de ani, internat în spital cu o tuse persistentă care se agravase în ultimele zile.
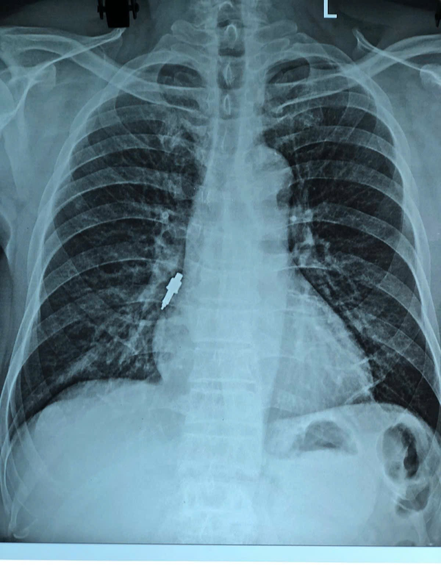
În urma investigațiilor pacientului, s-a aflat că, în urmă cu aproximativ două săptămâni, acesta fusese supus unei proceduri de implant la o clinică stomatologică privată. În timpul procedurii, medicul dentist l-a informat că a pierdut un instrument, dar nu a putut determina unde a căzut. După ce s-a întors acasă, pacientul a avut o tuse ușoară care a durat mult timp și s-a agravat treptat, așa că s-a dus la spital pentru examinare. Rezultatele radiografiei au arătat că pacientul avea un obiect străin în bronhia dreaptă. Procesul de endoscopie de urgență în cazul menționat mai sus a întâmpinat multe dificultăți, deoarece obiectul străin era mare, alunecos și blocat adânc în bronhie.

Instrumente dentare prelevate din bronhiile pacientului
Pentru a asigura siguranța maximă a pacientului, echipa chirurgicală a coordonat cu atenție acțiunile pentru a minimiza riscul de sângerare, ruptură bronșică sau împingere mai adâncă a obiectului străin. După îndepărtarea cu succes a obiectului străin, bronhiile pacientului au fost curățate de puroi și reziduuri de sânge din căile respiratorii. Pacientul este acum conștient și tusea a fost redusă semnificativ.
Potrivit Dr. Nguyen Tien Dung (șeful Departamentului de Medicină Respiratorie Alergologică - Spitalul Friendship), deoarece obiectul străin este mare, alunecos și ferm fixat în bronhie, acesta nu poate fi îndepărtat cu forcepsul de biopsie - tipul utilizat în mod obișnuit pentru obiecte străine comune, cum ar fi arahidele, oasele de pește etc. Dacă nu este detectat din timp, un obiect străin atât de mare poate provoca numeroase complicații periculoase: obstrucția căilor respiratorii, pneumonie, abces pulmonar și chiar insuficiență respiratorie care pune viața în pericol.

Un obiect străin a fost blocat adânc în bronhia pacientului.
Potrivit Dr. Dung, în fiecare an, Departamentul de Respirație și Alergologie primește în continuare cazuri de corpuri străine bronșice, cum ar fi arahide, oase de pește, fragmente alimentare etc. Cu toate acestea, corpurile străine sub formă de instrumente stomatologice metalice sunt situații rare, cu risc ridicat și necesită o coordonare rapidă între pacient, unitatea stomatologică și spitalul specializat. Medicul recomandă ca persoanele care efectuează proceduri dento-maxilo-faciale, în special implanturi, medicii stomatologi să utilizeze protecție a căilor respiratorii (tifon, dispozitive anti-cădere).
După procedură, dacă pacientul prezintă o tuse prelungită, disconfort în piept sau o senzație de obstrucție, acesta trebuie să solicite imediat asistență medicală pentru a evita pierderea obiectelor străine. În plus, persoanele ar trebui să aleagă o clinică stomatologică de renume pentru a-și asigura propria siguranță în timpul efectuării procedurii.
Vedeți mai multe videoclipuri interesante:
Sursă: https://suckhoedoisong.vn/ho-keo-dai-sau-khi-lam-rang-nguoi-dan-ong-phat-hien-dung-cu-nha-khoa-trong-phe-quan-169251126132856207.htm






Comentariu (0)