Pe 20 octombrie, Dr. Ngo Duc Minh Huy, șeful Departamentului de Otorinolaringologie al Spitalului Popular 115 (HCMC), a declarat că unitatea tocmai a primit și a tratat cu succes o pacientă în vârstă de 67 de ani, diagnosticată cu sinuzită sfenoidă cauzată de o ciupercă.
Pacientul s-a prezentat la clinică cu o durere de cap care dura de câteva luni și cu un rinoree cu miros neplăcut. Anterior, pacientul fusese examinat și tratat la mai multe unități medicale , dar starea sa nu s-a îmbunătățit după întreruperea administrării medicamentului.
La spital, din rezultatele examinărilor inițiale, medicii au suspectat că pacientul are sinuzită fungică.
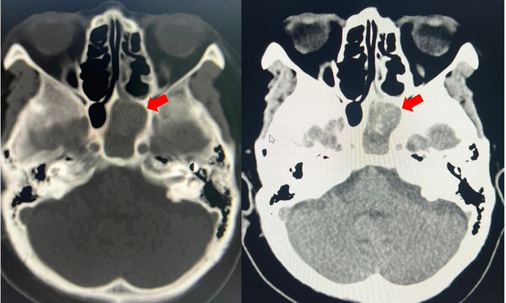
Tomografia computerizată și rezultatele paraclinice ulterioare au stabilit, de asemenea, că pacienta avea sinuzită sfenoidă stângă cauzată de o ciupercă, cu o infecție. În plus, s-a observat că avea și numeroase afecțiuni preexistente, cum ar fi hipertensiune arterială, boală renală cronică în stadiul III și diabet zaharat de tip 2.

Imagine a masei sinusului sfenoidal stâng (săgeată roșie) (Foto: Spital).
Imediat după aceea, pacientul a fost tratat de o echipă multidisciplinară pentru a-i stabiliza starea inițială de sănătate. Când starea a permis, medicii departamentului ORL au efectuat o intervenție chirurgicală endoscopică pentru a deschide sinusul sfenoidal, a curăța țesutul fungic, necroza și inflamația din sinusul pacientului și a preleva probe de specimene suspectate de fungi pentru a le trimite spre testare.
După operație, pacientul a continuat să fie monitorizat și tratat la secția ORL. Până la externare, pacientul nu mai avea dureri de cap și nas curgător.
Relatând acest caz, Dr. Minh Huy a subliniat că sinuzita sfenoidă fungică este o boală silențioasă, ușor de trecut cu vederea și poate provoca complicații periculoase, în special la vârstnicii cu numeroase boli preexistente.
Sinuzita sfenoidă este o infecție fungică neinvazivă, întâlnită frecvent în grupul sinuzitelor fungice, care apare la persoanele de vârstă mijlocie și vârstnice, în special la femei.
Boala provine dintr-o masă fungică, de obicei cauzată de creșterea pe termen lung a unor ciuperci filamentoase, care formează o „bilă” densă de culoare maro închis sau gri-albăstruie în sinusul sfenoid. Aceasta este situată adânc în cavitatea nazală, adiacentă multor structuri importante, cum ar fi baza craniului, nervul optic, glanda pituitară și artera carotidă internă.
„Este demn de remarcat faptul că boala progresează silențios, cu simptome atipice care pot fi ușor confundate cu sinuzita cronică comună. Prin urmare, multe cazuri sunt descoperite doar atunci când boala a durat mult timp, chiar și cu complicații periculoase”, a declarat Dr. Huy.
Simptomele clinice ale sinuzitei sfenoidale sunt adesea vagi și nespecifice, cum ar fi o durere de cap surdă în regiunea parietală sau retroorbitală. Durerea iradiază la frunte sau tâmple, este adesea prelungită, iar analgezicele sunt ineficiente.
Pacienții prezintă adesea semne de congestie nazală sau secreții nazale, care pot avea un miros neplăcut. Unele cazuri pot prezenta pierderea tranzitorie a vederii sau vedere încețoșată din cauza ciupercii care comprimă nervul optic.
Deoarece sinusul sfenoidal este situat în apropierea multor structuri importante, dacă masa fungică nu este detectată și tratată prompt, aceasta poate duce la complicații grave, cum ar fi leziunile nervului optic care cauzează pierderea bruscă a vederii, chiar orbire ireversibilă; celulită periorbitală sau abces orbital; meningită, abces cerebral din cauza unei infecții extinse.
„Aceasta este o formă neinvazivă a ciupercii, dar poate avea totuși consecințe grave dacă diagnosticul este întârziat. Prin urmare, vigilența și detectarea precoce sunt factori cheie în tratament”, a sfătuit Dr. Nham Tan Dat, Departamentul de Otorinolaringologie.
Prin urmare, oamenii nu ar trebui să fie absolut subiectivi în ceea ce privește durerile de cap prelungite, durerile de cap în regiunea occipitală, în spatele ochilor sau în mijlocul frunții și durerile care nu se ameliorează cu medicamente.
„De asemenea, oamenii ar trebui să consulte un medic din timp dacă prezintă semne neobișnuite de vedere, cum ar fi vedere încețoșată, vedere dublă sau pierderea tranzitorie a vederii. Acesta ar putea fi un semn de avertizare al afectării nervului optic din cauza compresiei masei fungice”, a avertizat medicul.
De asemenea, oamenii ar trebui să își curețe regulat sinusurile cu soluție salină, să evite mediile poluate, praful și fumul și să nu utilizeze medicamente pe termen lung fără prescripție medicală.
Sursă: https://dantri.com.vn/suc-khoe/con-dau-dau-bao-hieu-can-benh-nguy-hiem-co-the-gay-mu-mat-ton-thuong-nao-20251021000428147.htm
Comentariu (0)