Benda asing tajam tersembunyi dalam rokok yang dirumus khas
Menurut keluarga, kanak-kanak lelaki LMT (10 bulan, Hanoi ) sedang bermain dengan bapanya tiba-tiba dia mengambil sebatang rokok di atas meja. Dalam keadaan cuai, keluarga itu membiarkan budak lelaki itu memasukkannya ke dalam mulut dan menelan hujung rokok.
Lebih berbahaya, tidak seperti rokok tradisional, ini adalah tembakau yang dipanaskan, sejenis tembakau dengan struktur khas, mengandungi kepingan logam nipis dan tajam di dalamnya, digunakan untuk mengalirkan haba. Apabila T. menelannya, air liur menjadi lembut dan melarutkan lapisan luar tembakau, menampakkan teras logam yang tajam dan nipis seperti bilah kecil.
"Apabila saya melihat anak saya menelannya, saya panik dan cuba mengeluarkannya tetapi tidak boleh. Kanak-kanak itu mula batuk, mukanya menjadi merah dan dia memuntahkan sedikit abu rokok. Seluruh keluarga berasa sangat takut dan segera membawa kanak-kanak itu ke Hospital Besar Hong Ngoc," cerita bapa itu.

Rokok mempunyai struktur khas dengan kepingan logam di dalam teras (Foto: BVCC).
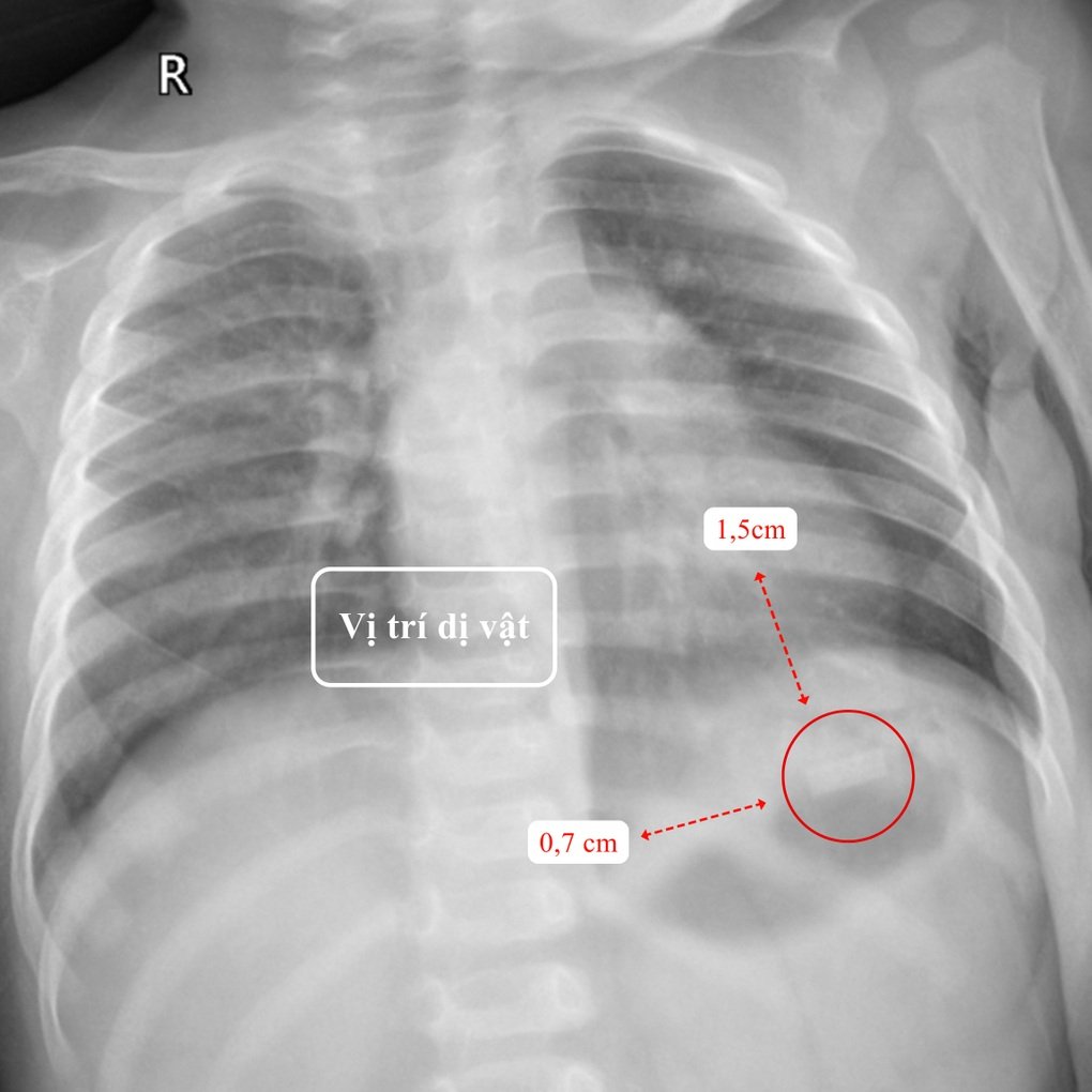
Di Jabatan Pediatrik - Hong Ngoc - Hospital Besar Phuc Truong Minh, hasil pemeriksaan klinikal dan paraklinikal menunjukkan bendasing logam berbentuk segi empat tepat berukuran 1.5x0.7cm, dengan sudut tajam, nipis dan tajam seperti bilah pisau yang terletak di hipokondrium kiri, kedudukan belon perut bayi T. Selain itu, akibat tertelan bahagian dadah yang beracun, keletihan dan bibir pucat.
Walau bagaimanapun, keadaan ini hanya bertahan kira-kira 30 minit. Selepas pemantauan, tanda-tanda vital bayi itu stabil, dan ujian darah tidak menunjukkan kelainan.

Lokasi objek asing pada filem X-ray (Foto: BVCC).
Selamatkan bayi daripada risiko penembusan usus
Menyedari bahaya objek asing itu, doktor segera menyelaraskan perundingan antara disiplin antara gastroenterologi pediatrik, gastroenterologi pembedahan, anestesia dan resusitasi, dan pengimejan diagnostik; dan memutuskan untuk memilih pilihan untuk melakukan endoskopi untuk mengeluarkan objek asing.
Secara terus memantau dan melakukan endoskopi ke atas bayi, Dr Phan Thi Hien (Jabatan Pediatrik dan Gastroenterologi - Hospital Besar Hong Ngoc - Phuc Truong Minh) berkata walaupun objek asing itu tidak terlalu besar saiznya, ia nipis, tajam dan mempunyai bucu tajam. Apabila bergerak dalam saluran penghadaman, ia boleh memotong atau menusuk mukosa bayi.
Apabila pasukan melakukan endoskopi, objek asing telah bergerak turun ke duodenum. Hanya pergerakan kecil boleh menyebabkan objek asing jatuh ke dalam usus kecil. Rawatan akan menjadi lebih sukar dan mengambil lebih banyak masa, dengan risiko yang tinggi untuk penembusan usus.
Oleh itu, pasukan melakukan setiap langkah dengan teliti, dengan tepat mengawal arah pergerakan pinset, memastikan mengekalkan garis penglihatan yang stabil sambil mengelakkan objek asing daripada bergesel pada dinding usus, menggunakan raket dengan jaringan kain untuk memeluk sepenuhnya objek asing dan menariknya keluar melalui esofagus.
Selepas 15 minit endoskopi, berkat pengalaman profesional yang mantap dan koordinasi yang lancar, Dr. Phan Thi Hien dan pasukannya berjaya mengeluarkan kepingan logam itu dengan selamat tanpa menyebabkan calar atau kerosakan pada saluran penghadaman kanak-kanak itu.

Doktor melakukan endoskopi untuk membuang objek asing (Foto: BVCC).
Selepas intervensi, bayi itu berjaga-jaga, bermain dengan baik, makan dengan baik, tidak sakit perut, dan tidak muntah. Tanda-tanda vital adalah stabil dan kanak-kanak itu dibenarkan keluar pada hari yang sama.

Kanak-kanak itu terjaga, dengan penunjuk stabil selepas campur tangan (Foto: BVCC).
Menerusi kes bayi T, doktor menyarankan ibu bapa perlu lebih berhati-hati dalam proses menjaga anak-anak kecil terutama kanak-kanak dalam peringkat merangkak dan menggenggam objek di sekeliling. Ini adalah peringkat kanak-kanak hiperaktif, suka meneroka dunia dengan memasukkan segala-galanya ke dalam mulut mereka. Oleh itu, risiko menelan objek asing adalah sangat tinggi.
Ibu bapa perlu secara proaktif mengeluarkan objek kecil dan tajam seperti magnet, syiling, butang, skru, dsb. atau bahan toksik seperti larutan pembersih, rokok dsb. daripada capaian kanak-kanak. Periksa makanan dengan teliti sebelum memberi makan kepada kanak-kanak, elakkan meninggalkan tulang ikan, tulang ayam, dsb., biji atau serpihan yang boleh menyebabkan tercekik. Pada masa yang sama, latih kanak-kanak dalam tabiat tidak menghisap atau menghisap mainan atau benda asing dan sentiasa meminta orang dewasa mengawasi apabila kanak-kanak makan atau bermain, jangan biarkan kanak-kanak berlari, melompat, atau ketawa semasa makan.
Sekiranya kanak-kanak menelan objek asing, ibu bapa hendaklah segera membawa kanak-kanak itu ke kemudahan perubatan terdekat untuk pemeriksaan dan rawatan tepat pada masanya; jangan cuba keluarkan sendiri benda asing itu atau beri makan lebih banyak untuk membantunya turun ke dalam perut, kerana ia boleh menyebabkan benda asing tersepit lebih dalam dan membahayakan anak.
Sumber: https://dantri.com.vn/suc-khoe/be-10-thang-suyt-thung-ruot-vi-nuot-dieu-thuoc-la-chua-manh-kim-loai-20251027213713541.htm






Komen (0)