
Pasien wanita berusia 69 tahun dapat berjalan kembali berkat teknik penggantian lutut berengsel - Foto: THUONG HIEN
Pada tanggal 21 Agustus, Rumah Sakit Pusat Hue mengumumkan bahwa mereka telah berhasil melakukan operasi pada Nyonya Ho Thi X. (69 tahun, tinggal di komune Chan May - Lang Co, kota Hue), yang telah menderita degenerasi dan deformitas lutut parah selama bertahun-tahun, dan hampir tidak dapat berjalan.
Setelah dua operasi penggantian lutut total dengan sendi lutut berengsel, pasien mendapatkan kembali gaya berjalan yang hampir normal dan berjalan mandiri tanpa memerlukan alat bantu.
Ini adalah teknik baru, pertama kali dilakukan di Rumah Sakit Pusat Hue.

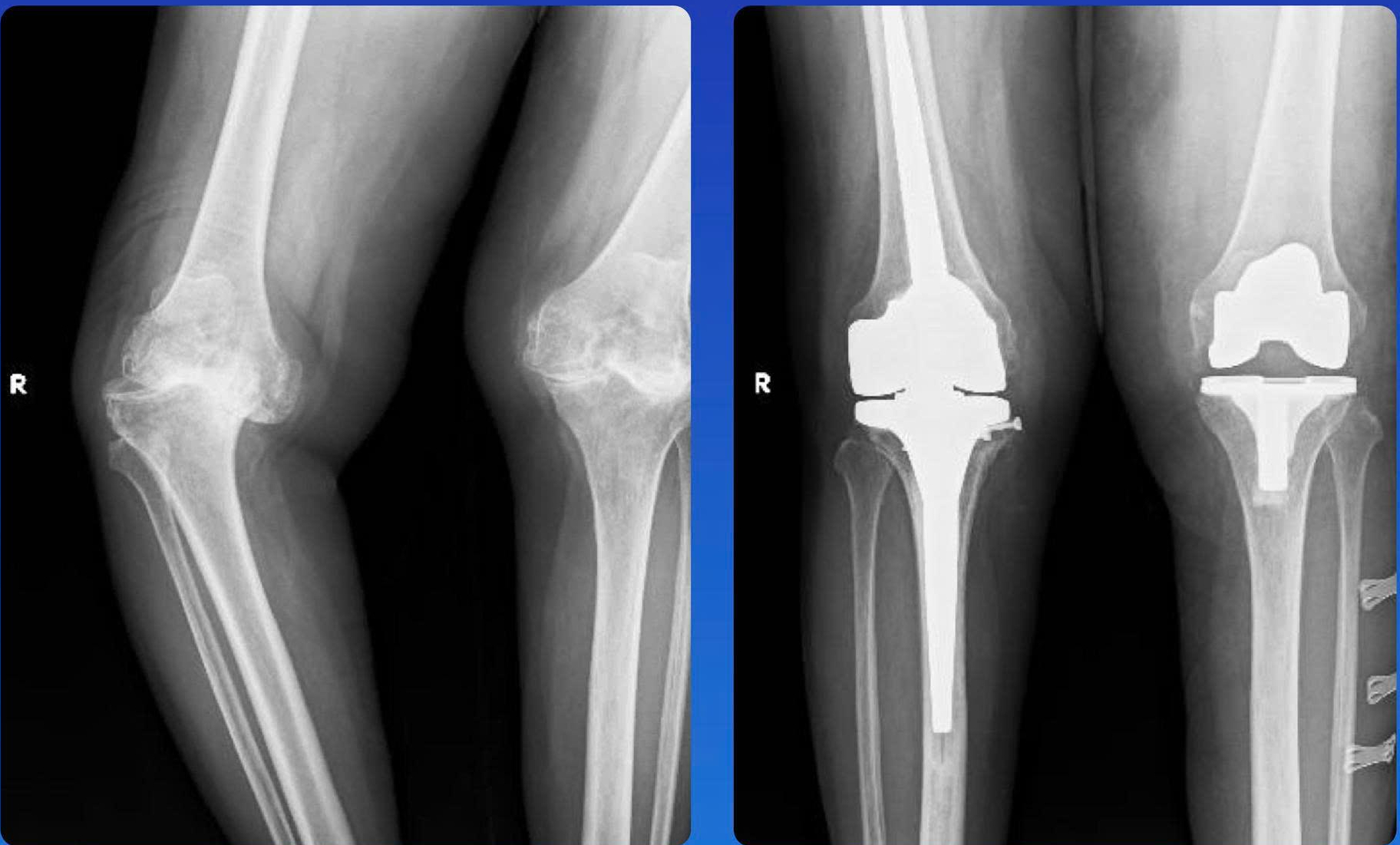
Sendi lutut pasien wanita berusia 69 tahun sebelum (kiri) dan setelah operasi penggantian sendi engsel - Foto: THUONG HIEN
Sebelumnya Ibu X pernah dirawat di rumah sakit dengan keluhan kelainan sendi berat, lutut kanan bengkok ke dalam 40 derajat, lutut kiri bengkok ke luar, disertai nyeri hebat dan tidak stabil saat digerakkan.
Pada bulan Juni, ia menjalani operasi penggantian lutut kanan, diikuti dengan operasi penggantian lutut total pada lutut kirinya pada bulan Agustus. Setelah menjalani rehabilitasi selama lima hari, ia dapat berjalan normal dan diperbolehkan pulang dari rumah sakit.
Menurut Dr. Nguyen Nguyen Thai Bao, kepala Departemen Bedah Sendi - Kedokteran Olahraga di Rumah Sakit Pusat Hue, sendi lutut engsel merupakan jenis sendi khusus, yang cocok untuk kasus rumit akibat kelainan bentuk yang parah atau hilangnya fungsi ligamen, yang memerlukan teknik tinggi untuk memastikan stabilitas dan memulihkan mobilitas.
Prof. Dr. Pham Nhu Hiep, direktur Rumah Sakit Pusat Hue, mengatakan bahwa penerapan sendi lutut berengsel tidak hanya merupakan langkah maju yang besar dalam pengobatan tetapi juga membuka arah bagi pengembangan teknik yang lebih modern seperti penggantian sendi dengan kecerdasan buatan (AI) atau robot.
Keberhasilan ini memiliki makna kemanusiaan yang mendalam karena membantu pasien lanjut usia lepas dari penderitaan bertahun-tahun, sekaligus menegaskan prestise dan posisi Rumah Sakit Pusat Hue di bidang bedah sendi dan pengobatan modern.
Sumber: https://tuoitre.vn/lay-lai-dang-di-cho-nguoi-phu-nu-69-tuoi-nho-ky-thuat-thay-khop-goi-ban-le-20250821170312689.htm






Komentar (0)