Pasien NTT dibawa ke Rumah Sakit Onkologi Hanoi oleh keluarganya karena pembesaran perut yang cepat, ketegangan, dan deformitas di hipokondrium kanan dan area panggul dalam 3 bulan terakhir. Pasien perempuan tersebut memiliki riwayat pneumonia kronis, kondisi fisik rata-rata, dan tidak memiliki riwayat kanker. Dokter memeriksanya secara klinis dan menemukan massa yang besar dan padat dengan batas yang relatif jelas dan mobilitas terbatas di daerah pinggul dan lumbar kanan.
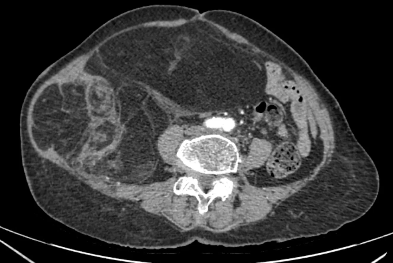
Hasil pencitraan diagnostik (CT scan abdomen dengan kontras) menunjukkan massa retroperitoneal berukuran 28 x 15 cm, struktur campuran lemak dan jaringan padat, menekan organ abdomen tetapi tidak menunjukkan tanda-tanda invasi ke organ di sekitarnya. Dengan menggabungkan pemeriksaan klinis dan pencitraan, pasien didiagnosis menderita liposarkoma retroperitoneal.

Dokter menilai kasus ini berisiko tinggi karena usia pasien yang lanjut, penyakit pernapasan yang mendasarinya, dan tumor besar yang menyusup ke otot-otot dinding perut. Selain itu, risiko kehilangan darah yang masif dan gangguan hemodinamik selama operasi juga diprediksi. Setelah konsultasi multidisiplin, dokter menyarankan operasi pengangkatan tumor radikal untuk pasien.
Segera setelah itu, tim bedah membuka abdomen di sepanjang garis tengah di atas dan di bawah pusar, memanjang ke kanan, dengan panjang sayatan sekitar 30 cm. Selama operasi, pasien memiliki massa berwarna kuning pucat yang menyusup ke otot psoas kanan, tidak menginvasi organ, tetapi tumor tersebut memiliki batas yang tidak jelas, menyusup di antara organ dan fasia dinding abdomen, sehingga pembedahan mengalami banyak kesulitan.
Dokter bedah dengan hati-hati membedah sepanjang bidang anatomi, mengendalikan pembuluh darah kecil untuk menghindari kerusakan pada organ-organ di sekitarnya. Seluruh tumor diangkat secara utuh, dengan berat hampir 4 kg dan berukuran 28 x 15 cm. Pasien kehilangan sekitar 300 ml darah, dan tidak memerlukan transfusi darah selama operasi.

CT scan abdomen pasien NTT
Setelah operasi, pasien diresusitasi secara aktif, hemodinamik stabil, dan tidak ada perdarahan atau infeksi luka operasi yang tercatat. Hasil histopatologi menunjukkan: liposarkoma anaplastik, dengan batas reseksi sel tumor negatif (R0). Pasien pulih dengan baik dan dipulangkan setelah 7 hari.
Menjelaskan penyakit fatal ini, dokter mengatakan bahwa Liposarkoma Retroperitoneal (RPLS) adalah keganasan jaringan lunak langka, yang mencakup sekitar 15-20% sarkoma retroperitoneal. Penyakit ini berkembang secara diam-diam, biasanya baru terdeteksi ketika tumor mencapai ukuran besar, yang menyebabkan kompresi organ di sekitarnya. Operasi radikal dengan margin reseksi negatif (R0) adalah metode pengobatan standar yang menentukan prognosis penyakit.
Namun, tingkat kekambuhan lokalnya tinggi (30-50%), terutama dalam 2-3 tahun pertama setelah operasi, karena sifat jaringan tumor yang menyebar di rongga retroperitoneal. Oleh karena itu, penderita penyakit ini perlu dipantau secara berkala dengan ultrasonografi atau CT scan setiap 6-12 bulan. Peran radioterapi atau kemoterapi adjuvan terbatas.
Melalui kasus ini, Kepala Departemen Bedah Umum, Wakil Direktur Rumah Sakit Onkologi Hanoi, Dr. Le Van Thanh, menyarankan agar masyarakat, terutama lansia, melakukan pemeriksaan kesehatan rutin untuk mendeteksi dini kelainan pada perut. Jika muncul tanda-tanda seperti perut yang membesar secara tidak biasa, nyeri tumpul di daerah pinggang, atau sensasi massa keras dan mudah bergerak di perut, segera periksakan ke fasilitas medis spesialis untuk pemeriksaan, diagnosis, dan penanganan yang tepat.
Sumber: https://kinhtedothi.vn/phau-thuat-thanh-cong-khoi-u-ac-tinh-nang-gan-4kg-cho-benh-nhan.896070.html






Komentar (0)