Chirurgische Eingriffe galten früher als Standardlösung, doch diese Methode hinterlässt oft Narben, birgt das Risiko von Komplikationen und kann die Fruchtbarkeit beeinträchtigen. US-HIFU ist heute eine moderne Behandlungsmethode, die gynäkologische Tumore äußerst effektiv entfernt, ohne gesundes Gewebe zu schädigen. Da Gebärmutter und Fruchtbarkeit erhalten bleiben, ist dies eine sichere Lösung, die sich für viele Frauen eignet, insbesondere für jene mit Kinderwunsch.

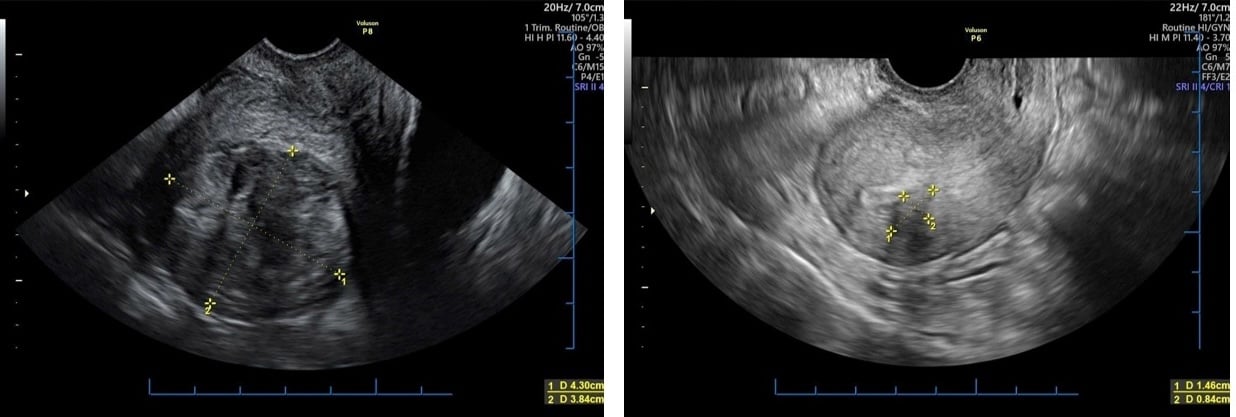
Uterusmyome, vor (linkes Foto) und nach der Behandlung mit US-HIFU
FOTO: BSCC
Professor Nguyen Viet Tien erklärte, dass US-HIFU (Hochintensiver fokussierter Ultraschall) eine Methode ist, die Ultraschallwellen präzise auf den Tumor fokussiert und so im erkrankten Bereich hohe Temperaturen erzeugt, um pathologisches Gewebe zu zerstören. Im Gegensatz zu herkömmlichen Operationen erfordert US-HIFU keine Schnitte, verursacht keine Blutungen und minimiert gleichzeitig die Belastung für gesundes Gewebe.
Professor Tien stellte fest, dass die US-HIFU-Technik herausragende Vorteile bietet: Sie ist sicher, nicht-invasiv, hinterlässt keine Narben, reduziert das Infektionsrisiko und trägt zur Verkleinerung oder vollständigen Beseitigung von Tumoren bei. Die Genesungszeit ist kurz, Patienten können bereits nach wenigen Tagen wieder ihren normalen Aktivitäten nachgehen; die Behandlung ist schmerzarm und erfordert keine Vollnarkose. Besonders hervorzuheben ist der Erhalt der Fruchtbarkeit.
Quelle: https://thanhnien.vn/dieu-tri-u-tu-cung-khong-xam-lan-bao-ton-chuc-nang-sinh-san-185251002201334701.htm






Kommentar (0)