El 20 de octubre, el Dr. Ngo Duc Minh Huy, jefe del Departamento de Otorrinolaringología del Hospital Popular 115 (HCMC), dijo que la unidad acababa de recibir y tratar con éxito a una paciente de 67 años diagnosticada con sinusitis esfenoidal causada por hongos.
El paciente acudió a la clínica con dolor de cabeza que le había durado varios meses y goteo nasal con mal olor. Anteriormente, había sido examinado y tratado en varios centros médicos , pero su condición no mejoró tras suspender la medicación.
En el hospital, a partir de los resultados del examen inicial, los médicos sospecharon que el paciente tenía sinusitis fúngica.
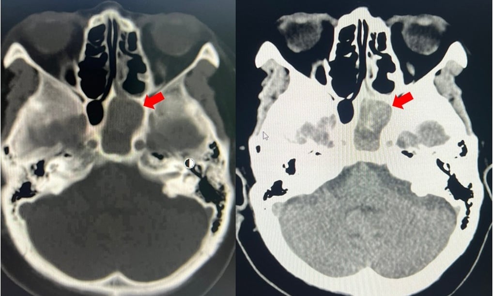
La tomografía computarizada y los resultados paraclínicos posteriores también determinaron que la paciente presentaba sinusitis esfenoidal izquierda causada por un hongo con infección. Además, se observaron diversas enfermedades subyacentes, como hipertensión arterial, enfermedad renal crónica en estadio III y diabetes tipo 2.

Imagen de masa del seno esfenoidal izquierdo (flecha roja) (Foto: Hospital).
Inmediatamente después, el paciente fue tratado por un equipo multidisciplinario para estabilizar su estado de salud inicial. Cuando la condición lo permitió, los médicos del servicio de otorrinolaringología realizaron una cirugía endoscópica para abrir el seno esfenoidal, limpiar el tejido fúngico, la necrosis y la inflamación del seno del paciente, y tomar muestras de las muestras sospechosas de hongos para su análisis.
Tras la cirugía, el paciente continuó bajo seguimiento y tratamiento en el servicio de otorrinolaringología. Al momento del alta, ya no presentaba cefaleas ni goteo nasal.
Al compartir este caso, el Dr. Minh Huy enfatizó que la sinusitis esfenoidal fúngica es una enfermedad silenciosa, que se pasa por alto fácilmente y puede causar complicaciones peligrosas, especialmente en ancianos con muchas enfermedades subyacentes.
La sinusitis esfenoidal es una infección micótica no invasiva, que se encuentra comúnmente en el grupo de sinusitis fúngicas y que se presenta en personas de mediana edad y mayores, especialmente en mujeres.
La enfermedad se origina a partir de una masa fúngica, generalmente causada por el crecimiento prolongado de hongos filamentosos, que forma una densa bola de color marrón oscuro o azul grisáceo en el seno esfenoidal. Este se localiza en la profundidad de la cavidad nasal, junto a muchas estructuras importantes como la base del cráneo, el nervio óptico, la hipófisis y la arteria carótida interna.
Cabe destacar que la enfermedad progresa de forma silenciosa, con síntomas atípicos que pueden confundirse fácilmente con una sinusitis crónica común. Por lo tanto, muchos casos solo se detectan cuando la enfermedad ha persistido durante mucho tiempo, incluso con complicaciones peligrosas, comentó el Dr. Huy.
Los síntomas clínicos de la sinusitis esfenoidal suelen ser vagos e inespecíficos, como una cefalea sorda en la región parietal o retroorbitaria. El dolor se irradia a la frente o las sienes, suele ser prolongado y los analgésicos son ineficaces.
Los pacientes suelen presentar signos de congestión o secreción nasal, que puede tener mal olor. En algunos casos, se puede presentar pérdida transitoria de la visión o visión borrosa debido a la compresión del nervio óptico por el hongo.
Debido a que el seno esfenoidal se encuentra cerca de muchas estructuras importantes, si la masa fúngica no se detecta y se trata a tiempo, puede provocar complicaciones graves como daño al nervio óptico que causa pérdida repentina de la visión, incluso ceguera irreversible; celulitis periorbitaria o absceso orbitario; meningitis, absceso cerebral debido a una infección generalizada.
"Esta es una forma no invasiva del hongo, pero aun así puede tener consecuencias graves si el diagnóstico se retrasa. Por lo tanto, la vigilancia y la detección temprana son factores clave en el tratamiento", aconsejó el Dr. Nham Tan Dat, del Departamento de Otorrinolaringología.
Por lo tanto, las personas no deben ser subjetivas en absoluto ante dolores de cabeza prolongados, dolores de cabeza en la región occipital, detrás de los ojos o en el medio de la frente y dolores que no mejoran con medicación.
"También se recomienda consultar a un médico de forma temprana si se presentan signos inusuales de visión, como visión borrosa, visión doble o pérdida transitoria de la visión. Esto podría ser una señal de alerta de daño del nervio óptico debido a la compresión de la masa fúngica", advirtió el médico.
Las personas también deben limpiar regularmente sus senos nasales con solución salina, evitar ambientes contaminados, polvo y humo, y no utilizar medicamentos a largo plazo sin prescripción médica.
Fuente: https://dantri.com.vn/suc-khoe/con-dau-dau-bao-hieu-can-benh-nguy-hiem-co-the-gay-mu-mat-ton-thuong-nao-20251021000428147.htm
Kommentar (0)