Vietnam.vn - Nền tảng quảng bá Việt Nam

Мужчина проколол себе трахею, чихая

Báo Gia đình và Xã hộiBáo Gia đình và Xã hội21/09/2024


У пациента из Великобритании (около 30 лет) был аллергический ринит. В момент происшествия он вёл машину и внезапно захотел чихнуть. Чтобы сосредоточиться на вождении, он прикрыл нос и закрыл рот, чтобы подавить чихание. Он чихнул, но это вызвало сильную боль в шее. Пациент немедленно обратился в отделение неотложной помощи.

Người đàn ông bị thủng khí quản do làm việc này trong lúc hắt hơi- Ảnh 2.

Иллюстрация фото

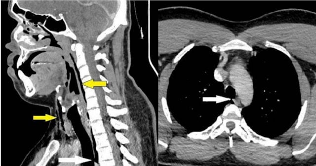
После пальпации пациента врач обнаружил хруст в горле и ограничение подвижности, поэтому немедленно назначил компьютерную томографию. Результаты показали наличие у мужчины разрыва трахеи размером 2x2x5 мм и пневмоторакса.

Медицинский персонал больницы отметил, что повреждения трахеи часто возникают в результате травм, например, от воздействия острых или тупых предметов, а состояние мужчины, известное как «спонтанная перфорация трахеи», на сегодняшний день не было обнаружено.

Медицинский персонал пришел к выводу, что травма была вызвана закрытием трахеи при чихании, в результате чего давление в трахее быстро возрастало, «эквивалентно взрыву».

К счастью, травма не представляла угрозы для жизни. Врач решил, что операция не требуется. Однако ему запретили интенсивные физические нагрузки в течение двух недель. Недавний осмотр показал, что мужчина полностью выздоровел.

Медицинские работники советуют людям не зажимать нос, чтобы подавить чихание, одновременно закрывая рот, поскольку это может привести к проколу трахеи.

Что происходит, когда вы сдерживаете чихание

Người đàn ông bị thủng khí quản do làm việc này trong lúc hắt hơi- Ảnh 3.

Иллюстрация фото

- Во время чихания весь воздух, накопленный в лёгких, выходит через нос. Когда вы перекрываете дыхательные пути, зажимая нос или рот во время чихания, воздух попадает в уши. Под давлением воздух может попасть в среднее ухо и повредить барабанную перепонку.

- Сдерживание чихания не очистит носовую полость, и вредные вещества получат возможность проникнуть глубже, вызывая заболевания в организме.

— Когда мы пытаемся сдержать чихание, внутричерепное давление значительно повышается. Нарушается приток крови к мозгу, а кровеносные сосуды и нервные ткани сдавливаются. Это может привести к головным болям и даже к ухудшению слуха.

- Давление, возникающее при сдерживании чихания, также может серьезно повлиять на глаза.

- Диафрагма (мышца, расположенная под грудной клеткой и отвечающая за контроль дыхания) также подвержена риску повреждения из-за внезапного повышения давления.



Источник: https://giadinh.suckhoedoisong.vn/nguoi-dan-ong-bi-thung-khi-quan-do-lam-viec-nay-trong-luc-hat-hoi-172240920233238864.htm

Комментарий (0)

No data
No data

Та же категория

«Богатые» цветы стоимостью 1 миллион донгов за штуку по-прежнему популярны 20 октября.
Вьетнамские фильмы и путь к «Оскару»
Молодые люди отправляются на Северо-Запад, чтобы провести там самое прекрасное время года – сезон сбора риса.
В сезон «охоты» на тростник в Биньлиеу

Тот же автор

Наследство

Фигура

Бизнес

Рыбаки Куангнгая каждый день приносят миллионы донгов, сорвав джекпот с креветок

Текущие события

Политическая система

Местный

Продукт