En representant för Bai Chay-sjukhuset ( Quang Ninh ) sade att avdelningens medicinska team nyligen framgångsrikt hade utfört endoskopisk kirurgi genom bröstkorgen för att avlägsna en posteriora mediastinumtumör som ligger nära ryggraden och invaderar pleura, vilket räddade livet på en 38-årig patient. Detta är en mycket teknisk, specialiserad och minimalinvasiv operation som hjälper patienter att undvika risken för livshotande komplikationer, minska smärta och återhämta sig snabbt.
Tidigare hade den manliga patienten TVQ (38 år gammal, bosatt i Tay Yen Tu-kommunen, Bac Ninh -provinsen) andningssvårigheter, trötthet, andnöd, talsvårigheter och domningar i höger hand med ryckningar i kroppen under sömnen. Tillståndet varade i många månader. Nyligen har dock bröstsmärtorna tilltagit, ibland vaknat med ett ryck, så patienten uppsökte Bai Chay-sjukhuset för undersökning.

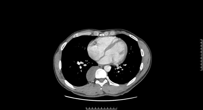
Röntgen av patientens bakre mediastinala tumör.
På sjukhuset undersöktes den unge mannen kliniskt av läkare och utförde djupgående undersökningar. Resultaten av datortomografi och magnetresonanstomografi av bröstkorgen upptäckte en stor tumör (33x90x32 mm) belägen nära ryggraden D7-D11. Efter konsultation diagnostiserade läkarna patienten med en posterior mediastinal tumör, övervakade neuromet och ordinerade endoskopisk thoraxkirurgi.
Med hjälp av modern endoskopisk kirurgisk utrustning närmade sig kirurgen tumören som mätte cirka 5x10 cm, med en fast densitet som sträckte sig från ryggraden D7-D11. Efter 3 timmar var operationen säker och framgångsrik, den bakre mediastinumtumören avlägsnades helt, lungorna expanderade väl, inga luftläckor och ingen lymfvätska utsöndrades. Efter 5 dagars operation återhämtade sig patientens hälsa väl.
Som den person som direkt utförde operationen på patienten, Dr. Nguyen Manh Hung - chef för neurokirurgiska avdelningen - Thorax, Bai Chay Hospital, sa: Patientens bakre mediastinala tumör är belägen på en särskilt svåråtkomlig plats, nära bröstryggen från D7 - D11. Tumören är belägen nära den enda venen, det interkostala neurovaskulära buntet, revbenen, bakre bröstväggsmusklerna, pleura runt tumören har många fibrösa vidhäftningar, och den övre lobens lungparenkym är fastklistrad i bröstväggen.

Patienten opererades för en bakre mediastinumtumör på Bai Chay-sjukhuset och återhämtade sig väl.
Därför måste avlägsnandet av sammanväxningar och endoskopisk tumördissektion vara skicklig, noggrann och precis för att undvika skador på viktiga strukturer såsom: stora blodkärl, interkostalnerver, ryggmärg, pleura. Samtidigt måste man säkerställa att operationen är säker, utan farliga komplikationer före, under och efter operationen, såsom: hemothorax, skador på stora blodkärl, skador på bröstgången, matstrupe, ryggrad - ryggmärg, nervrötter, infektion, skador på trakeobronkerna, lymfläckage...
Framgångsrik endoskopisk kirurgi för att behandla tumörer i bakre mediastinum hjälper patienter att förbättra sin livskvalitet och undvika risken för tumörprogression, nervkompression, förlamning, pneumothorax och livshotande andningssvikt.
Läkare på Bai Chay-sjukhuset rekommenderar: När patienter upplever symtom som långvarig andnöd, bröstsmärta, domningar i armar och ben, ihållande hosta, oförklarlig trötthet etc., bör de undersökas tidigt för att upptäcka mediastinumsjukdomar, undvika allvarliga komplikationer och förbättra behandlingseffektiviteten.
Källa: https://suckhoedoisong.vn/nam-thanh-nien-co-khoi-u-trung-that-sau-bien-chung-nguy-hiem-169251204194308595.htm






Kommentar (0)