Паразити – група захворювань з високим ризиком повторного виникнення
У лікарні Данг Ван Нгу (Центральний інститут малярії, паразитології та ентомології) кількість пацієнтів, які звертаються на обстеження з підозрою на паразитарну інфекцію, останніми днями значно зросла порівняно з аналогічним періодом минулого року. Згідно зі статистичним звітом про результати перших 9 місяців року Центрального інституту малярії - паразитології - ентомології, загальна кількість медичних оглядів становила 48 195, що на 38,64% більше, ніж за аналогічний період 2024 року. Кількість стаціонарних пацієнтів становила 494, що на 32,79% більше, ніж за аналогічний період 2024 року. Кількість амбулаторних пацієнтів становила 21 128, що на 16,27% більше, ніж за аналогічний період 2024 року. Структура амбулаторних захворювань у 2025 році: личинки аскарид у собак/котів: 17 584, собачий ціп'як: 1 378, великий печінковий ціп'як: 228, стронгілоїдоз: 918, личинки свинячого ціп'яка: 451, малий печінковий ціп'як: 186, інші паразитарні захворювання були менш численними. В середньому лікарня щодня реєструє близько 400 пацієнтів, з яких 2/3 звертаються через свербіж, алергію або тривалу кропив'янку. Примітно, що багато випадків помилково вважаються раком, дерматологічними, неврологічними захворюваннями... і лікуються від цих захворювань протягом багатьох років, але не виліковуються, доки поглиблене обстеження не з'ясовує, що справжньою причиною є паразити.
До поширених паразитів належать: аскариди собак/котів (токсокари), собачий ціп'як, стронгілоїдоз, печінкова двуустка, личинки свинячого ціп'яка тощо. Серед них токсокари мають тенденцію до швидкого розмноження та стають основною причиною алергії та свербіння у людей.
Пояснюючи нещодавнє зростання паразитарних захворювань, доктор Тран Хюй Тхо - лікарня Данг Ван Нгу (Центральний інститут малярії - паразитології - ентомології) зазначив, що причина тісно пов'язана з умовами гігієни навколишнього середовища, небезпечними харчовими та життєвими звичками, а також суб'єктивністю, коли люди не регулярно перевіряються на наявність паразитів.
Три поширені звички, які наражають людей на високий ризик зараження паразитами, – це вживання недостатньо термічно обробленої їжі, використання небезпечних джерел води та вирощування собак і котів без регулярного вилучення їх з навколишнього середовища.

Личинки мігрують під шкіру через паразитарну інфекцію
Легко сплутати зі шкірними захворюваннями, інсультом, раком... марна трата здоров'я та часу на лікування
У контексті серцево-судинних захворювань та раку, яким приділяється велика увага, паразитарні захворювання прогресують непомітно та часто ігноруються. Навіть через погані харчові звички та гігієну організм може стати «господарем» для багатьох видів глистів.
Викликає занепокоєння те, що симптоми паразитарних захворювань різноманітні та їх легко сплутати з багатьма іншими захворюваннями, що призводить до неправильного та тривалого лікування. «Деякі люди лікуються протягом 5-10 років без вилікування. Тільки коли шкірні ураження стають шорсткими та сочаться, вони приходять і отримують правильний діагноз паразитів», – сказав доктор Тран Хюй Тхо, постійний заступник директора з професійних питань лікарні Данг Ван Нгу.
Доктор Тран Хьюї Тхо наголосив, що якщо паразитарні захворювання не виявити та не лікувати належним чином, вони матимуть серйозні наслідки. У легкій формі захворювання викликає дискомфорт, свербіж, алергію та впливає на якість життя. У важкій формі паразити можуть вражати важливі внутрішні органи, такі як мозок, печінка, легені та очі, завдаючи серйозної шкоди.
Личинки рухаються в організмі, і коли вони паразитують у певному органі, це має назву цього захворювання. Наприклад, мозковий сосальщик є формою інфекції свинячого ціп'яка: коли личинки переміщуються в мозок, це викликає енцефаліт, набряк мозку, а наслідками є судоми, слабкість, параліч тіла та кінцівок (хворий може легко сплутати це з інсультом). Печінковий сосальщик може спричинити обструкцію жовчних шляхів, цироз або рак печінки. У дітей паразитарні інфекції можуть уповільнювати фізичний та інтелектуальний розвиток.
Тому необхідно діагностувати та лікувати захворювання на ранній стадії, щоб уникнути серйозних наслідків.


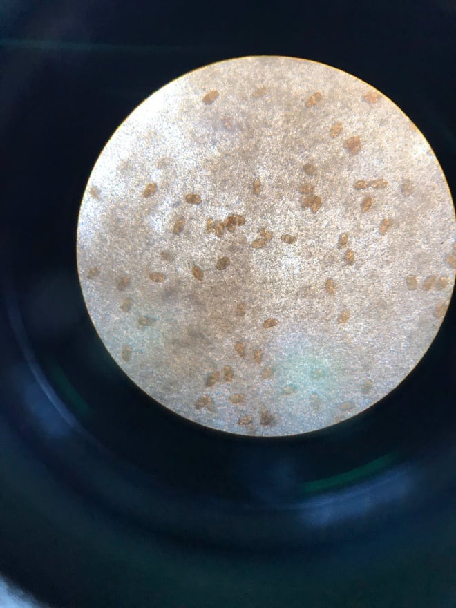
Яйця печінкової трематохи під мікроскопом
Коли слід звернутися до паразитолога?
Лікарі лікарні Данг Ван Нгу рекомендують, щоб для запобігання захворюванням, спричиненим паразитами, людям приділяти особливу увагу гігієні харчування та повсякденним звичкам. Відповідно, категорично не вживайте сиру їжу, включаючи недотермічно оброблені водні овочі, сирих смажених крабів, рибний салат, сиру печінку тварин тощо; не пийте сиру воду; не їжте та не спіть разом, не обіймайте та не цілуйте собак і котів, а також стежте за чистотою домашніх тварин.

Щодня лікарня Данг Ван Нгу приймає сотні пацієнтів, які приходять на обстеження щодо паразитарних захворювань.
Щоб точно діагностувати паразитарні захворювання, пацієнти не можуть покладатися виключно на зовнішні симптоми. Тому, коли є ознаки свербіння, кропив'янки, які тривають тривалий час, а дерматологічне лікування неефективне, людям слід звернутися до спеціалізованих медичних закладів для обстеження та своєчасного лікування паразитарних захворювань.
Лікарня Данг Ван Нгу – провідний заклад Центрального інституту малярії, паразитології та ентомології, наразі є престижним місцем у діагностиці та лікуванні паразитарних захворювань.
Для виявлення та лікування паразитарних захворювань застосовується багато передових методів: ІФА-тест сироватки крові для виявлення антитіл до паразитів; поглиблений імунологічний тест; молекулярно-біологічний тест; аналіз калу для виявлення яєць або личинок паразитів. Методи візуалізації (УЗД, КТ, МРТ) для виявлення пошкоджень, спричинених паразитами у внутрішніх органах. Завдяки цьому лікарня може точно виявити причину захворювання, особливо у випадках тривалого свербіння та важковизначених уражень внутрішніх органів.
Лікарня Данг Ван Нгу впровадила план профілактики паразитарних захворювань на період 2021-2025 років та план боротьби з епідемією поширених паразитарних захворювань у В'єтнамі на період 2021-2025 років, затверджений Міністерством охорони здоров'я . Зокрема, для учнів початкових шкіл у 24/25 провінціях та містах було проведено дегельмінтизацію, в рамках якої 2 936 625/2 988 173 дитини пройшли дегельмінтизацію. Учням початкових шкіл було видано препарати від глистів, що досягло рівня охоплення 98,27%. Водночас з 1 червня 2024 року для дітей віком від 24 до 60 місяців у 22 провінціях та містах було проведено дегельмінтизацію. У 22 провінціях та містах дегельмінтизацію було проведено для 1 622 159/1 638 541 дитини дошкільного віку, що досягло рівня охоплення 99,0%.
У відповідь на зростаючий попит на медичне обстеження та лікування, окрім обслуговування людей із медичним страхуванням, лікарня Данг Ван Нгу відкрила добровільну клініку по суботах, щоб зменшити навантаження та полегшити людям проактивне звернення за медичним обстеженням. Люди можуть записатися на прийом заздалегідь, зателефонувавши за номером: 02435532925 або за гарячою лінією 02438543857, щоб отримати консультацію та відповіді на адміністративні питання.
Фотозйомка
Джерело: https://suckhoedoisong.vn/bi-nhiem-ky-sinh-trung-can-di-kham-va-dieu-tri-o-dau-16925112115452406.htm






Коментар (0)