সম্প্রতি, মিসেস টি. (৫০ বছর বয়সী, কোয়াং এনগাই প্রদেশে বসবাসকারী) হো চি মিন সিটির একটি হাসপাতালে পরীক্ষার জন্য গিয়েছিলেন কারণ তার বাম স্তন তার ডান স্তনের দ্বিগুণ বড় ফুলে গিয়েছিল, যার সাথে ব্যথা, চাপ এবং শ্বাসকষ্ট ছিল।
তিনি বলেন, ১৫ বছর আগে তার স্তন বৃদ্ধির সমস্যা হয়েছিল, রক্তনালীর কোনও অস্বাভাবিক রোগ ছিল না, অ্যান্টিকোয়াগুলেন্ট ব্যবহার করেননি এবং লক্ষণগুলি দেখা দেওয়ার সময় বুকে সরাসরি কোনও আঘাত পাননি।
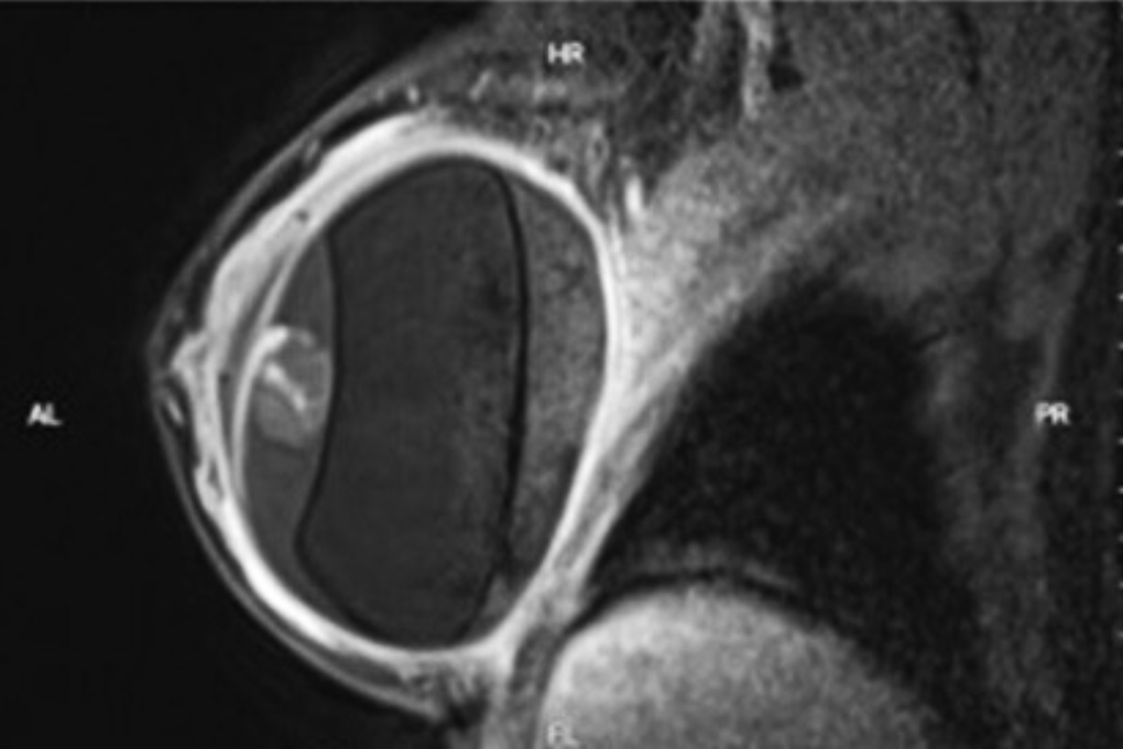
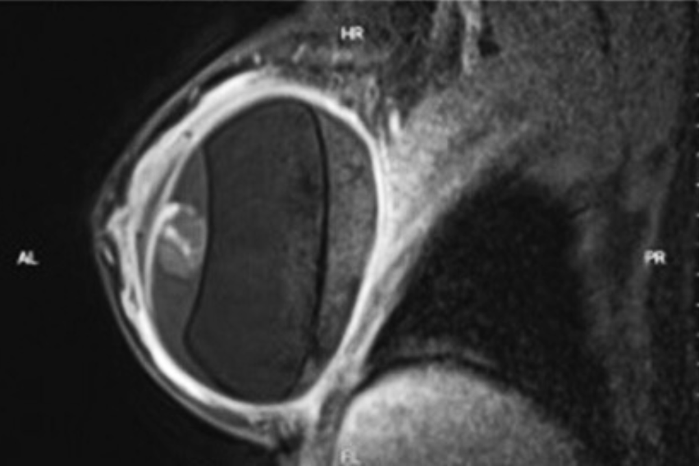
মহিলাকে আল্ট্রাসাউন্ড এবং ম্যাগনেটিক রেজোন্যান্স ইমেজিং (MRI) করার নির্দেশ দেওয়া হয়েছিল, যেখানে বাম স্তন ইমপ্লান্টে তরল জমা দেখা গেছে।

স্তন ইমপ্লান্ট স্থাপনের পর জটিলতায় ভোগা রোগীর এমআরআই ছবি (ছবি: হাসপাতাল)।
এরপর রোগীকে সাইটোলজির জন্য রেফার করা হয়, যেখানে প্রদাহজনক তরল পাওয়া যায় এবং অ্যানাপ্লাস্টিক লার্জ সেল লিম্ফোমা (BIA-ALCL), যা একটি বিরল ধরণের ক্যান্সার, তার একটি ডিফারেনশিয়াল রোগ নির্ণয় করা হয়।
রোগীর সাথে একটি বহুমুখী দল পরামর্শ করেছিল এবং উভয় স্তন ইমপ্লান্ট অপসারণ এবং বাম স্তনের তন্তুযুক্ত ক্যাপসুল সম্পূর্ণরূপে অপসারণের জন্য অস্ত্রোপচারের জন্য নির্ধারিত হয়েছিল। অস্ত্রোপচারের সময়, মেডিকেল টিম স্তন ইমপ্লান্টের চারপাশে তন্তুযুক্ত ক্যাপসুলে প্রায় 100 মিলি রক্ত আবিষ্কার করে। 3 ঘন্টার অস্ত্রোপচারের পর, রোগীর স্বাস্থ্য স্থিতিশীল ছিল এবং রোগগত পরীক্ষায় কোনও ম্যালিগন্যান্ট কোষ দেখা যায়নি।
আরেকটি ঘটনা হল মিসেস থ. (৫১ বছর বয়সী, ডং নাই প্রদেশে), যিনি দীর্ঘ সময় ধরে তার ডান স্তনের ব্যথা এবং বিকৃতিতে ভুগছিলেন। রোগীর ১০ বছর আগে স্তন ইমপ্লান্ট সার্জারিও হয়েছিল।
পরীক্ষার সময়, ডাক্তার লক্ষ্য করেন যে মহিলার ডান স্তনে টান এবং বিকৃতির লক্ষণ দেখা যাচ্ছে। ইমেজিং ফলাফলে দেখা গেছে যে উভয় পাশে ফেটে যাওয়া ব্যাগ রয়েছে, হেমাটোমা এবং সিলিকন আশেপাশের টিস্যুতে লিক করছে।
অস্ত্রোপচারের সময়, সার্জিক্যাল টিম প্রায় ২০০ মিলি রক্ত এবং সিলিকন মিশ্রণ অ্যাসপিরেট করে, তন্তুযুক্ত ক্যাপসুলটি চিকিৎসা করে এবং ইমপ্লান্টটি নতুন একটি দিয়ে প্রতিস্থাপন করে। অস্ত্রোপচারের পর, মিসেস থ. দ্রুত সুস্থ হয়ে ওঠেন, তার স্বাস্থ্য এবং মানসিকতা উভয়ই স্থিতিশীল থাকে।
মিস এইচ. (৬৪ বছর বয়সী, হো চি মিন সিটিতে বসবাসকারী) সন্তান প্রসবের পর তার ঝুলে পড়া এবং সঙ্কুচিত স্তনের উন্নতির জন্য ২০০০ এবং ২০১১ সালে দুটি স্তন ইমপ্লান্ট করেছিলেন। গত সেপ্টেম্বরে, একটি নিয়মিত স্বাস্থ্য পরীক্ষার সময়, আল্ট্রাসাউন্ড ফলাফলে দেখা যায় যে রোগীর ডান স্তন ইমপ্লান্টে অস্বাভাবিকতা রয়েছে।
রোগীর একটি অতিরিক্ত স্তন এমআরআই করানো হয়, যেখানে দেখা যায় যে ডান স্তন ইমপ্লান্টটি ক্যাপসুলের ভেতরে ফেটে গেছে, সামান্য তরল লিকেজ সহ। জটিলতা এড়াতে, ডাক্তার মহিলাকে দুটি পুরানো স্তন ইমপ্লান্ট অপসারণের জন্য অস্ত্রোপচারের নির্দেশ দেন এবং তন্তুযুক্ত ক্যাপসুলটি পুঙ্খানুপুঙ্খভাবে চিকিত্সা করেন।

সার্জন রোগীর বুকের জটিলতার চিকিৎসা করেন (ছবি: হাসপাতাল)।
আমেরিকান সোসাইটি অফ অ্যাসথেটিক প্লাস্টিক সার্জারির পরিসংখ্যান অনুসারে, ব্রেস্ট - হেড অ্যান্ড নেক সার্জারি বিভাগের মাস্টার, ডাক্তার হুইন বা ট্যান বলেছেন যে ইমপ্লান্টের মাধ্যমে স্তন বৃদ্ধি সবচেয়ে বেশি সম্পাদিত সার্জারির মধ্যে একটি।
অতীতে, রোগীদের প্রায় ১০ বছর পর তাদের স্তন ইমপ্লান্ট প্রতিস্থাপন করার পরামর্শ দেওয়া হত। আজকাল, অনেক মহিলা যদি জটিলতা অনুভব না করেন তবে নিরাপদে তাদের ইমপ্লান্ট দীর্ঘ সময়ের জন্য বজায় রাখতে পারেন।
বিপরীতে, কিছু ক্ষেত্রে ক্যাপসুলার কন্ট্রাকচার, ব্যাগ ফেটে যাওয়া বা স্তনের বিকৃতির মতো ব্যাগ সম্পর্কিত জটিলতার কারণে প্রত্যাশার চেয়ে আগে পুনরায় অস্ত্রোপচারের প্রয়োজন হয়। কম সাধারণ জটিলতা হল সেরোমা এবং লেট হেমাটোমা, যা বেদনাদায়ক ফোলাভাব এবং স্তনের দ্রুত বৃদ্ধি দ্বারা প্রকাশিত হয়।
এই ক্ষেত্রে ম্যালিগন্যান্ট অগ্রগতি এড়াতে অ্যানাপ্লাস্টিক বৃহৎ কোষ লিম্ফোমা প্রাথমিকভাবে বাদ দেওয়া প্রয়োজন।
ডাক্তাররা সুপারিশ করেন যে স্তন ইমপ্লান্টের বহু বছর পরও যেসব মহিলারা ফোলাভাব এবং ব্যথা অনুভব করেন তাদের তাড়াতাড়ি চিকিৎসার পরামর্শ নেওয়া উচিত। যদি তাৎক্ষণিকভাবে সনাক্ত করা হয় এবং চিকিৎসা করা হয়, তাহলে রোগ নির্ণয় সাধারণত ভালো হয়। এছাড়াও, স্তন বৃদ্ধি একটি সুনামধন্য চিকিৎসা কেন্দ্রে, একজন সুপ্রশিক্ষিত ডাক্তারের মাধ্যমে করা উচিত এবং রোগীর নিয়মিত পর্যবেক্ষণ করা উচিত।
সূত্র: https://dantri.com.vn/suc-khoe/nhieu-phu-nu-gap-bien-chung-nguy-hiem-sau-thoi-gian-dai-nang-nguc-20251023122909020.htm






মন্তব্য (0)