Flickan som heter L. är trots att hon är 24 år gammal bara 1,40 meter lång, väger 32 kg, har inte nått puberteten, har inga bröst och har inte haft menstruation. L. ser ut som ett 10-årigt barn, tydligt annorlunda än personer i samma ålder.
Först trodde familjen att L. utvecklades sent, så de ökade hennes näringsintag. Det var först när de såg att hennes figur inte hade förändrats, trots att hon hade vuxit upp, som familjen tog L. till läkaren.
Genom undersökning fann Dr. Lam Van Hoang, chef för avdelningen för endokrinologi - diabetes, ett sjukhus i Ho Chi Minh-staden, att flickan hade avvikelser typiska för Turners sjukdom, såsom kortväxthet, kort nacke och underutvecklade bröst.
Test- och ultraljudsresultat visade att patienten hade mycket låga östrogennivåer jämfört med normala nivåer, äggstockssvikt och infantil livmoder. Detta är ett tillstånd där livmodern hos en vuxen är onormalt liten (mindre än 30 mm), liknande den hos en ung flicka.
Utifrån resultaten av djupgående kromosomtest i kombination med tecken diagnostiserade sjukhuset L. med Turners syndrom, en typ av könskromosomrubbning.

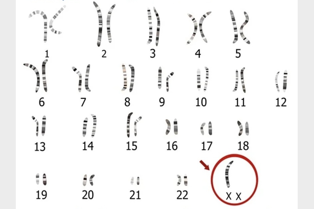
Resultaten av kromosomtestet bekräftade att patienten hade Turners syndrom (Foto: BV).
Dr. Hoang analyserade att kvinnokroppen normalt sett har två X-kromosomer. Men personer med Turners syndrom har bara en X-kromosom, eller så är en del av X-kromosomen aktiv, vilket leder till problem med fysisk utveckling och reproduktion.
Eftersom flickan upptäckte sjukdomen i vuxen ålder hade hon inte längre chansen att bli längre, och bristen på kvinnliga hormoner hindrade patienten från att utveckla bröst och sexuell funktion.
Om patienter lämnas obehandlade kan de uppleva tidiga komplikationer såsom hjärt-kärlsjukdomar, hjärtsvikt, högt blodtryck, endokrina störningar, hörselnedsättning, amblyopi, njurkomplikationer, skelettavvikelser, kommunikationssvårigheter etc.
Den kvinnliga patienten behandlades med hormonersättningsmedel som östrogen och progesteron. Efter 3 månaders intervention fick flickan sin mens men hade svårt att bli gravid och behövde övervakas regelbundet för att förhindra komplikationer.
Enligt Dr. Hoang är Turners syndrom en kromosomal sjukdom som endast förekommer hos kvinnor, med en frekvens av 1/4 000, och är inte ärftlig. Detta tillstånd uppstår på grund av ett slumpmässigt fel i delningen av fosterceller, vilket leder till en brist på eller ofullständig X-kromosom.
Tecken och symtom på Turners syndrom kan variera från person till person.
Vanliga drag inkluderar en svullen nacke eller svullna lemmar vid födseln, en hög och smal gom, en bred bröstkorg och brett placerade bröstvårtor, en låg hårfäste på baksidan av huvudet, hängande övre ögonlock och en vikande eller liten underkäke.
Under puberteten och vuxenlivet har patienten en kortväxthet, medellängden är endast cirka 1,4 m, tillväxten är långsam, brösten är outvecklade, ingen menstruation eller menstruationscykeln upphör tidigt.
För närvarande finns det inget botemedel mot Turners syndrom, eftersom sjukdomen är ett resultat av en slumpmässig genetisk störning under kromosomdelningen.
Den mest effektiva screeninglösningen idag är prenatala screeningtester (såsom NIPT, dubbeltest, trippeltest) för att upptäcka avvikelser tidigt och ingripa snabbt.
"Om det upptäcks tidigt och behandlas korrekt med tillväxthormon, könshormon och regelbunden hälsoövervakning kan patienten fortfarande utvecklas nästan normalt och leva ett hälsosamt liv", rådde Dr. Hoang.
Källa: https://dantri.com.vn/suc-khoe/ky-la-co-gai-24-tuoi-van-chua-day-thi-vi-loi-ngau-nhien-cua-co-the-20251117132636294.htm







Kommentar (0)