O Sr. H. foi levado ao médico após sentir repentinamente uma dor aguda e lancinante no lado esquerdo do peito, que irradiava para o ombro e braço esquerdos e piorava com mudanças de postura ou respiração profunda.
Além disso, segundo o paciente, ele apresentou leve falta de ar e tosse seca. Antes disso, era completamente saudável, exceto por um histórico de 30 anos de tabagismo (um maço a cada dois dias) e um diagnóstico de cistos pulmonares em 2022. A família informou que sua esposa havia sido tratada para tuberculose pulmonar de janeiro a junho de 2025.
O exame revelou que o paciente apresentava respiração rápida e superficial, ventilação pulmonar esquerda deficiente, hiperressonância à percussão, frêmito diminuído e tríade de Galliard positiva.
![]() |
| Imagens de raio-X do paciente. |
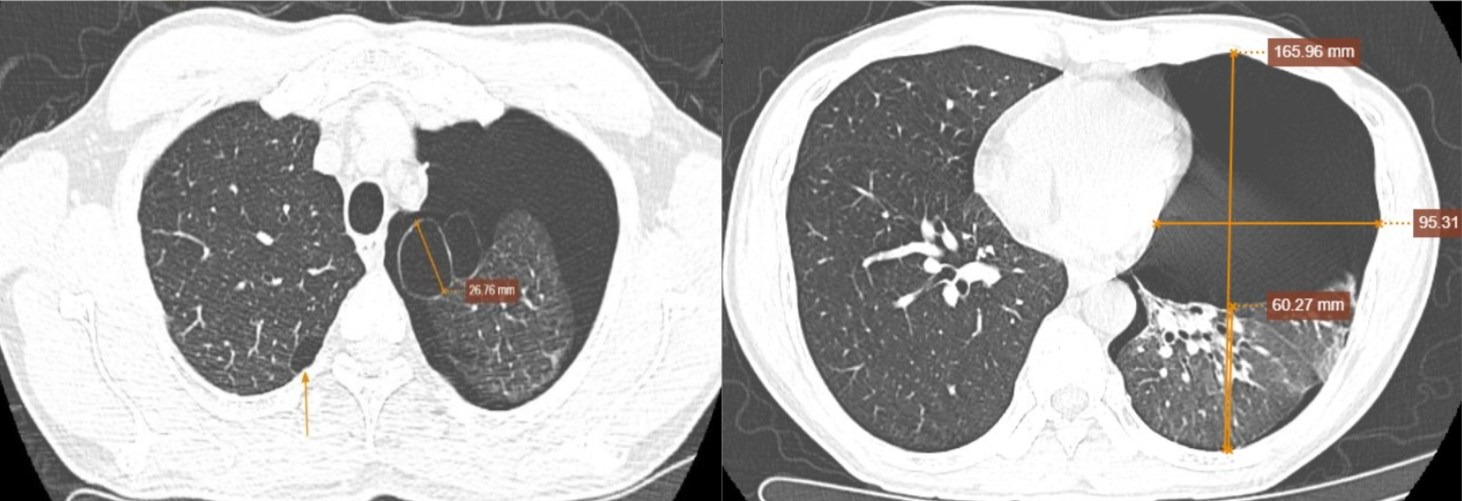
A frequência cardíaca era regular, com 98 batimentos por minuto, a pressão arterial de 140/90 mmHg e a SpO₂ de 95%. A tomografia computadorizada de baixa dose revelou um grande pneumotórax esquerdo, causando colapso pulmonar passivo de até 75%, sugerindo fortemente a ruptura de um cisto de ar.
As imagens também mostraram cistos de ar no lobo superior do pulmão esquerdo e dilatação alveolar adjacente aos septos pulmonares. O ecocardiograma e a ultrassonografia pleural revelaram o coração deslocado para a direita, perda do deslizamento pleural e ausência da linha B.
Com o diagnóstico de pneumotórax grave devido à ruptura de um cisto de ar, os médicos realizaram imediatamente uma drenagem por aspiração com uma agulha de grosso calibre. Após apenas 30 minutos, a sensação de aperto no peito e a falta de ar do paciente melhoraram significativamente, o ar na cavidade pleural diminuiu e ele foi transferido para outro centro para intervenção endoscópica no tratamento do cisto de ar. Uma semana depois, o paciente estava bem recuperado, não apresentava mais dor no peito e recebeu alta hospitalar.
Segundo o Dr. Hoang Minh Toai, da Clínica Multiespecializada MEDLATEC Thanh Xuan, os cistos aéreos pulmonares são sacos cheios de ar localizados no parênquima pulmonar, com paredes finas e sem função respiratória.
Os cistos aéreos podem ser congênitos, mas a maioria é adquirida devido a doenças respiratórias crônicas, como infecções pulmonares, bronquite crônica, enfisema, abscessos pulmonares, distúrbios linfoproliferativos ou tabagismo prolongado. Notavelmente, muitos casos progridem silenciosamente, sendo descobertos pelos pacientes apenas incidentalmente durante exames de imagem.
Algumas pessoas podem apresentar sintomas respiratórios como tosse, falta de ar, dificuldade para respirar, tosse seca ou tosse com catarro espesso. Esses sintomas são facilmente confundidos com outras doenças respiratórias e, portanto, muitas vezes passam despercebidos.
Se não forem tratados, os cistos de ar podem causar complicações graves, como ruptura, que pode levar a um pneumotórax, uma emergência com risco de vida, ou infecção, que pode causar derrame pleural. Cistos grandes também podem comprimir a traqueia e o esôfago, causando colapso pulmonar ou dificuldade para engolir e respirar.
O Dr. Toai recomenda que pessoas com histórico de tabagismo intenso, doença pulmonar crônica, histórico de cistos de ar ou infecções respiratórias recorrentes sejam monitoradas de perto e façam exames de saúde regulares.
Exames respiratórios regulares ajudam a detectar anormalidades precocemente, permitem intervenções oportunas e previnem complicações perigosas, como o pneumotórax.
Fonte: https://baodautu.vn/kip-thoi-cuu-song-nguoi-dan-ong-bi-tran-khi-mang-phoi-nang-do-vo-ken-khi-d453187.html







Comentário (0)