Vietnam.vn - Nền tảng quảng bá Việt Nam

Bexiga de homem rompe após segurar urina por muito tempo enquanto bebia cerveja

A bexiga de um homem se rompeu enquanto ele segurava a urina enquanto bebia cerveja e foi prontamente tratado por médicos do Hospital Popular 115.

Báo Tuổi TrẻBáo Tuổi Trẻ27/09/2025

Nhịn tiểu lâu khi uống bia, người đàn ông bị vỡ bàng quang - Ảnh 1.

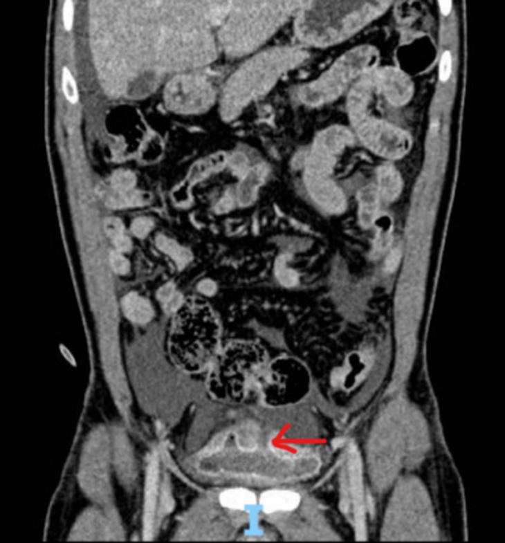
Tomografia computadorizada abdominal e raio-X da bexiga mostraram líquido livre no peritônio e ruptura da bexiga na cúpula vesical - Foto: Fornecida pelo hospital

Em 27 de setembro, o People's Hospital 115 (HCMC) anunciou que havia recebido e operado com sucesso um caso raro de ruptura da bexiga.

Um paciente do sexo masculino, de 46 anos, foi internado com dor na parte inferior do abdômen e retenção urinária. O paciente havia prendido a urina por um longo tempo enquanto bebia cerveja (após beber cerca de 3 latas, sentiu vontade de urinar, mas conteve a vontade e sentou-se para beber mais). Ao ir ao banheiro, o paciente escorregou e caiu, batendo a parte inferior do abdômen contra o vaso sanitário.

Cerca de 4 horas depois, o paciente foi levado ao hospital pela família. Através de exame clínico e radiografia, foi constatada ruptura intraperitoneal da bexiga com lesão hepática grau I.

O Dr. Tran Hai Phong e o Dr. Ngo Tri Thanh - Departamento de Nefrologia e Transplante Renal, Hospital Popular 115 - disseram que a maioria dos casos de ruptura da bexiga se origina de acidentes de trânsito.

Quando o paciente ingere álcool, a bexiga fica cheia devido à retenção de urina por muito tempo, ao dirigir uma moto ou a uma queda causada por embriaguez, levando ao incidente acima.

A equipe cirúrgica realizou com urgência uma cirurgia de reparo da bexiga de duas camadas, colocou um dreno abdominal e colocou um cateter urinário no paciente.

A equipe de cirurgia geral examinou a lesão hepática de grau I e decidiu tratá-la de forma conservadora. Após a cirurgia, o quadro do paciente melhorou bastante: o dreno foi removido após 2 dias, a alta hospitalar após 7 dias, o cateter urinário foi removido após 14 dias e o paciente conseguiu urinar normalmente novamente.

Segundo os médicos, a ruptura da bexiga é uma emergência cirúrgica perigosa. Se adiada, pode causar peritonite, infecção grave e risco de vida ao paciente.

Pesquisas no Hospital Viet Duc (2021) mostram que as causas comuns de ruptura da bexiga incluem: acidentes de trânsito representam 86,6% (principalmente devido ao consumo de álcool, bexiga cheia); acidentes de trabalho representam 13,4% e acidentes domésticos (queda no vaso sanitário, pancada no estômago quando a bexiga está cheia) são muito raros.

O paciente acima teve a sorte de ser levado ao hospital mais cedo e passou pela cirurgia correta, então se recuperou bem.

Neste caso, o Dr. Phong e o Dr. Thanh recomendam que as pessoas não segurem a urina após consumir álcool e tenham cuidado especial ao se movimentar no banheiro para evitar quedas.

Após um trauma abdominal, se houver dor abdominal, retenção urinária, hematúria, etc., o paciente precisa ir imediatamente ao hospital para tratamento de emergência oportuno.

DOAÇÃO

Fonte: https://tuoitre.vn/nhin-tieu-lau-khi-uong-bia-nguoi-dan-ong-bi-vo-bang-quang-20250927134943731.htm


Comentário (0)

No data
No data

No mesmo tópico

Na mesma categoria

Na época de "caça" ao junco em Binh Lieu
No meio da floresta de mangue de Can Gio
Pescadores de Quang Ngai embolsam milhões de dongs todos os dias após ganharem na loteria com camarão
O vídeo da apresentação do traje nacional de Yen Nhi tem o maior número de visualizações no Miss Grand International

Do mesmo autor

Herança

Figura

Negócios

Hoang Thuy Linh traz o hit com centenas de milhões de visualizações para o palco do festival mundial

Eventos atuais

Sistema político

Local

Produto