ขณะเดียวกัน เขาคิดว่าการทำเคมีบำบัดจะทำลายเซลล์ ทำให้สุขภาพของเขาอ่อนแอลงเท่านั้น คุณเอ็มจึงกลับบ้านเพื่อรักษามะเร็งด้วยวิธีการรักษาแบบพื้นบ้าน โดยรับประทานยาสมุนไพรที่เรียนรู้จากคนรู้จักเป็นเวลาหกเดือน ควบคู่ไปกับการงดกินไก่และเนื้อวัว... ทุกเช้า เที่ยง และเย็น เขาจะต้มยาด้วยน้ำสามถ้วย ต้มให้เหลือหนึ่งถ้วยเพื่อดื่ม อย่างไรก็ตาม อาการท้องผูกของเขากลับแย่ลง น้ำหนักลดลง 15 กิโลกรัม รับประทานอาหารหรือดื่มน้ำได้ไม่ปกติ ปวดท้องอย่างรุนแรงบางครั้ง บางครั้งก็ปวดตื้อๆ เขามีปัญหาในการขับถ่ายเป็นเวลาหนึ่งเดือน ท้องอืด และสุขภาพทรุดโทรมลงอย่างมาก
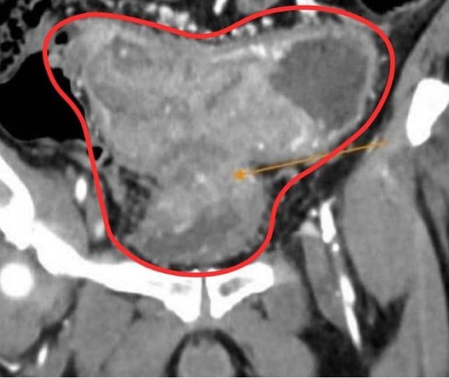
ครอบครัวของนายเอ็มได้นำตัวเขากลับไปที่โรงพยาบาลทัมอันห์ในนครโฮจิมินห์เพื่อตรวจร่างกาย ผลการสแกนซีทีสแกนช่องท้องเผยให้เห็นเนื้องอกร้ายที่ทำให้ช่องลำไส้แคบลงอย่างสมบูรณ์ นำไปสู่การอุดตันของอุจจาระและการบุกรุก ส่งผลให้ผนังกระเพาะปัสสาวะหนาขึ้น ที่น่าสังเกตคือ ตับมีรอยโรคสองแห่งเนื่องจากมะเร็งลำไส้ใหญ่ที่แพร่กระจาย
เมื่อวันที่ 10 ธันวาคม ดร.เหงียน ตรัน อันห์ ทู ผู้เชี่ยวชาญด้านมะเร็งวิทยาที่โรงพยาบาลทั่วไปทาม อันห์ ในนครโฮจิมินห์ กล่าวว่าระหว่างการตรวจติดตามผล นายเอ็ม ได้รับการวินิจฉัยว่าเป็นมะเร็งลำไส้ใหญ่ส่วนซิกมอยด์ระยะที่ 4 (ส่วนสุดท้ายของลำไส้มีลักษณะเป็นรูปตัว S ก่อนที่จะเชื่อมต่อกับทวารหนัก) ซึ่งได้ลุกลามไปที่กระเพาะปัสสาวะและแพร่กระจายไปที่ตับ
ผู้ป่วยได้รับการผ่าตัดผ่านกล้องเพื่อสร้างทวารหนักเทียมเพื่อให้สามารถขับถ่ายได้ แพทย์สั่งจ่ายยารักษาแบบจำเพาะเจาะจงร่วมกับเคมีบำบัดตามสูตรยา FOLFOX (ยาสามชนิดรวมกัน)
“หากเริ่มการรักษาเร็วกว่านี้ นายเอ็ม. ก็คงต้องทำการผ่าตัดเท่านั้น และอาจต้องให้เคมีบำบัดร่วมด้วยขนาดยาที่เหมาะสมเพื่อรักษาสุขภาพให้คงที่” นพ. อันห์ ทู กล่าว
การรักษาของนายเอ็มมีความท้าทายเนื่องจากสุขภาพที่อ่อนแอและระบบภูมิคุ้มกันที่อ่อนแอ ก่อนการรักษา เขาติดเชื้อทางเดินปัสสาวะจากแบคทีเรียอีโคไล ซึ่งนำไปสู่ภาวะติดเชื้อในกระแสเลือด ต้องรักษาด้วยยาปฏิชีวนะเป็นเวลา 10 วัน หลังจากการรักษาด้วยยาปฏิชีวนะ ผลเพาะเชื้อในเลือดไม่พบเชื้อแบคทีเรียดังกล่าว และเขาได้รับการใส่พอร์ตฉีดใต้ผิวหนังเพื่อเตรียมการให้เคมีบำบัด
หลังจากรอบการรักษาครั้งแรก คุณเอ็ม. มีอาการติดเชื้อทางเดินปัสสาวะซ้ำซาก เขาได้รับการตรวจจากแพทย์ผู้เชี่ยวชาญด้านโรคไตและรับประทานยาปฏิชีวนะอย่างต่อเนื่อง เมื่ออาการติดเชื้อคงที่ ผู้ป่วยจึงเข้ารับการทำเคมีบำบัดรอบที่ 2, 3 และ 4 ต่อไป คุณเอ็ม. ยังคงรับประทานอาหารที่มีประโยชน์ ไม่จำกัดปริมาณอาหารเหมือนแต่ก่อน และดื่มน้ำวันละ 2 ลิตร
หลังจากทำเคมีบำบัด 3 เดือน ผลการสแกน CT พบว่าเนื้องอกมีขนาดเล็กลง ปัจจุบัน คุณเอ็ม มีสุขภาพแข็งแรง รับประทานอาหารและดื่มน้ำได้ ไม่มีอาการปวดท้อง การผ่าตัดเปิดลำไส้ใหญ่ (colostomy) ทำงานได้ดี และไม่มีเลือดออกจากทวารหนักธรรมชาติ
“ผมเสียใจที่ไม่ได้เข้ารับการรักษามะเร็งตามที่แพทย์แนะนำในตอนแรก” นายเอ็ม กล่าว

เนื้องอกร้ายสามารถทำให้ช่องลำไส้แคบลงจนหมด ทำให้เกิดอุจจาระอุดตันและขยายตัว รวมถึงการบุกรุกทำให้ผนังกระเพาะปัสสาวะหนาขึ้น
ภาพโดย : TA
ยาแผนโบราณของเวียดนามสามารถใช้ร่วมกับการรักษามะเร็งแบบดั้งเดิมได้ แต่ไม่สามารถใช้ทดแทนได้
แพทย์ Anh Thu ระบุว่า ยาสมุนไพรสามารถใช้ร่วมกับเคมีบำบัดและการฉายรังสีเพื่อรักษาเสถียรภาพทางจิตใจ บรรเทาอาการ เสริมสร้างสุขภาพโดยรวม และลดผลข้างเคียง อย่างไรก็ตาม ผู้ป่วยควรปรึกษาแพทย์ผู้รักษาก่อนใช้ยาเหล่านี้ และยังสามารถใช้ร่วมกับยาอื่นๆ ตามที่แพทย์แผนโบราณสั่งได้อีกด้วย
การรักษามะเร็งใช้วิธีการรักษาแบบหลายรูปแบบ (ผสมผสานวิธีการรักษาหลายวิธี) เช่น การผ่าตัด เคมีบำบัด การฉายรังสี ภูมิคุ้มกันบำบัด ฯลฯ เพื่อควบคุมการแพร่กระจายทั้งในระยะเริ่มต้นและระยะลุกลาม ลดภาวะแทรกซ้อน และเพิ่มประสิทธิภาพการรักษา การผ่าตัดไม่ได้ทำให้เซลล์มะเร็งแพร่กระจายไปทั่วร่างกาย เทคนิคการถ่ายภาพสมัยใหม่ เช่น อัลตราซาวนด์ ซีทีสแกน และเอ็มอาร์ไอ ช่วยให้แพทย์สามารถวินิจฉัยระยะของโรคได้อย่างแม่นยำก่อนการผ่าตัด ทำให้การผ่าตัดแม่นยำยิ่งขึ้นและผลลัพธ์การรักษาที่ดีขึ้น

สามารถใช้การเยียวยาด้วยสมุนไพรแบบดั้งเดิมร่วมกับเคมีบำบัดและการฉายรังสีได้ แต่ต้องปรึกษาแพทย์ก่อนและไม่ควรใช้แทนวิธีการรักษาอื่นๆ
ภาพประกอบ: AI
เคมีบำบัดเกี่ยวข้องกับการให้ยาเคมีแก่ร่างกายเพื่อฆ่าและป้องกันการเติบโตของเซลล์มะเร็ง เนื่องจากยามีผลต่อทั้งเซลล์มะเร็งและเซลล์ปกติ จึงอาจทำให้เกิดผลข้างเคียง เช่น อ่อนเพลีย อ่อนแรง คลื่นไส้ ผมร่วง สูญเสียการรับรส โลหิตจาง และเลือดออก อย่างไรก็ตาม อาการเหล่านี้สามารถควบคุมได้ด้วยยาเสริมเพื่อบรรเทาผลข้างเคียง
ดร. อันห์ ธู แนะนำให้ผู้ป่วยมะเร็งปฏิบัติตามคำแนะนำของแพทย์อย่างเคร่งครัด ไม่ควรรักษาตัวเองด้วยสมุนไพรหรือยาแผนโบราณ เพราะอาจลดโอกาสการรักษาหายขาดในระยะเริ่มแรก เมื่อโรคลุกลามเข้าสู่ระยะรุนแรง การรักษาจะซับซ้อนและมีค่าใช้จ่ายสูงขึ้น ส่งผลกระทบต่อสุขภาพจิตและคุณภาพชีวิตของผู้ป่วย
ที่มา: https://thanhnien.vn/tu-choi-mo-tu-y-dung-thuoc-nam-benh-nhan-ung-thu-chuyen-nang-185251210100720429.htm










การแสดงความคิดเห็น (0)