Le voyage a été écourté par une chute inattendue à Sa Pa.
Mme Ronit Azar (58 ans, de nationalité israélienne) et son mari étaient venus au Vietnam pour un voyage touristique, avec l'intention de visiter de nombreux sites célèbres. Cependant, leur séjour fut rapidement interrompu par un accident inattendu à Sa Pa. Un soir, alors qu'elle marchait près de l'hôtel, Mme Ronit, n'étant pas habituée au terrain escarpé, a soudainement glissé et chuté. Le souvenir de cette chute la hante encore.
« Tout s'est passé si vite. En tombant, mes jambes et mes épaules ont heurté le sol violemment et j'ai immédiatement ressenti une vive douleur à la jambe droite. En essayant de me relever, j'ai réalisé que ma jambe droite était instable ; j'avais l'impression de glisser dans le vide. J'ai cru que je m'étais cassé un os », a déclaré Ronit Azar.
Prenant conscience de la gravité de ses blessures, Mme Ronit et son mari furent conduits par leur guide à l'hôpital local pour recevoir les premiers soins. Les radiographies confirmèrent une fracture du col du fémur droit et la nécessité d'une arthroplastie de la hanche afin de prévenir toute infection, déplacement osseux et autres complications.
Cependant, comme l'établissement médical local n'était pas qualifié pour pratiquer l'opération, Ronit et son mari ont décidé de retourner à Hanoï pour trouver un hôpital disposant d'une meilleure expertise et de meilleurs services de traitement.
Par le biais d'une recommandation, elle a entendu parler de l'hôpital général Hong Ngoc - Phuc Truong Minh, l'un des hôpitaux dotés d'un service spécialisé en traumatologie orthopédique et d'une équipe de médecins hautement qualifiés et expérimentés ; elle a donc décidé de venir ici pour un examen et une intervention chirurgicale.

L'hôpital général Hong Ngoc - Phuc Truong Minh possède un service de traumatologie orthopédique hautement spécialisé.
La mobilité est retrouvée en une seule journée grâce à la prothèse de hanche SuperPATH.
À l'hôpital général Hong Ngoc - Phuc Truong Minh, Mme Ronit a été examinée directement par le Dr Le Quang Huy, chef du service de chirurgie orthopédique traumatologique et de neurologie crânienne. Après une évaluation complète des symptômes et des résultats de la radiographie, le médecin a diagnostiqué une fracture fermée du col du fémur droit et a préconisé une arthroplastie totale de la hanche sans ciment, avec une prothèse à deux mouvements, afin de soulager la douleur et de restaurer la structure et la fonction motrice.
Lorsque le médecin lui a annoncé qu'elle devait subir une arthroplastie de la hanche, Mme Ronit était très inquiète car il s'agissait de sa première intervention chirurgicale majeure, et qui plus est à l'étranger. Mais après que le Dr Huy lui eut expliqué en détail la procédure, la technique chirurgicale, le type d'articulation qui serait utilisé et les chances de rétablissement optimal, elle fut rassurée et fit confiance à l'équipe médicale de l'hôpital général de Hong Ngoc.
Le Dr Le Quang Huy a déclaré : « Dans ce cas précis, nous avons opté pour une prothèse de hanche utilisant la technique SuperPATH, qui présente de nombreux avantages : petite incision, intervention mini-invasive, absence de section des tendons, ce qui contribue à limiter les lésions des tissus mous, à réduire la douleur et à permettre la mobilisation dès le lendemain de l’opération. L’intervention utilise une prothèse de hanche à deux mouvements dotée d’une structure particulière composée de deux couches de têtes osseuses mobiles à l’intérieur de l’acétabulum, afin d’accroître l’amplitude des mouvements et la flexibilité de l’articulation et de réduire le risque de luxation postopératoire. »

Le Dr Le Quang Huy a réalisé l'opération de remplacement de la hanche SuperPATH.
Selon le Dr Le Quang Huy, la nouvelle génération de prothèses de hanche à deux mouvements est largement utilisée en Europe et présente de nombreux avantages par rapport aux prothèses conventionnelles. Cette prothèse est composée de deux couches de polyéthylène et de têtes fémorales en métal, ce qui permet d'accroître l'amplitude de mouvement de la hanche de 20 degrés, sa rotation de 25 degrés et sa flexion de 30 degrés.
Les deux têtes fémorales sont reliées par un mécanisme de verrouillage rapide, assurant la stabilité, une bonne mobilité et réduisant le risque de luxation postopératoire. Ainsi, les patients peuvent rapidement reprendre leurs activités quotidiennes, comme s'accroupir, faire du vélo ou croiser les jambes.
Après plus d'une heure, l'opération a été un succès et le col fémoral fracturé a été remplacé par une articulation artificielle haute résistance capable de supporter la charge, permettant au patient de conserver une mobilité à long terme.

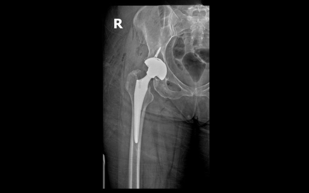
Radiographie de la hanche postopératoire du patient Ronit.
Mme Ronit et son mari ont été surpris par la rapidité de sa convalescence, bien au-delà de leurs espérances. « C'était incroyable ! Tout ce que le Dr Huy m'a conseillé s'est avéré juste. Dès le lendemain de l'opération, je pouvais me déplacer légèrement, me lever avec des béquilles, et quatre jours plus tard, j'étais autonome dans mes activités quotidiennes. Cette rapidité de guérison est incroyable ! J'espère sortir bientôt de l'hôpital et reprendre une vie normale », a-t-elle déclaré.

Mme Ronit suit une rééducation intensive après son opération.
Le cas de Mme Ronit Azar démontre l'efficacité des techniques modernes de remplacement articulaire combinées aux prothèses de hanche artificielles de nouvelle génération dans le traitement des fractures du col du fémur, optimisant les résultats du traitement et permettant aux patients de gagner du temps et de réduire les coûts.
Le succès de cette intervention chirurgicale confirme non seulement la position du Département de chirurgie orthopédique traumatologique - neurochirurgie crânienne en particulier et de l'Hôpital général Hong Ngoc - Phuc Truong Minh en général dans le domaine des traumatismes orthopédiques et de la rééducation osseuse et articulaire, mais contribue également à améliorer la qualité de vie des patients, y compris des touristes internationaux.
L'hôpital général de Hong Ngoc pratique une méthode de remplacement de la hanche mini-invasive qui permet aux patients de ressentir moins de douleur et de marcher 1 à 2 jours après l'intervention. Les patients nécessitant une arthroplastie de la hanche à l'hôpital général de Hong Ngoc peuvent contacter la ligne d'assistance téléphonique : 0912 002 131 ou 0949 646 556.
Source : https://dantri.com.vn/suc-khoe/benh-nhan-israel-lay-lai-van-dong-nho-thay-khop-hang-superpath-20251210092412571.htm










Comment (0)