
פרויקט המחקר "שיפור זני אורז מבחינת מיקרו-נוטריינטים באמצעות ביוטכנולוגיה", בראשות ד"ר לה קווין מאי ובחסות הפקולטה למדעים (האוניברסיטה הלאומית של וייטנאם, האנוי), השיג תוצאות משמעותיות בשיפור תכולת המיקרו-נוטריינטים באורז ובמזעור הסיכון להצטברות מתכות כבדות המזיקות לבריאות.
בהתחשב בעיית החסרים במיקרו-נוטריינטים בתזונה והחששות הגוברים מזיהום קדמיום במוצרים חקלאיים , בחר צוות המחקר בגישה מתקדמת המשתמשת בטכנולוגיית עריכת גנים CRISPR/Cas9 כדי להגביר בו זמנית את הצטברות הברזל והאבץ בדגנים, להפחית את ספיגת הקדמיום ולשמור על צמיחת הצמחים. מטרת הפרויקט הייתה לתכנן מבני עריכת גנים, ליצור תהליכי התחדשות וליצור קווי אורז משופרים עם תכולת ברזל ואבץ מוגברת והפחתה של 10% לפחות בקדיום בהשוואה לזן המקורי.
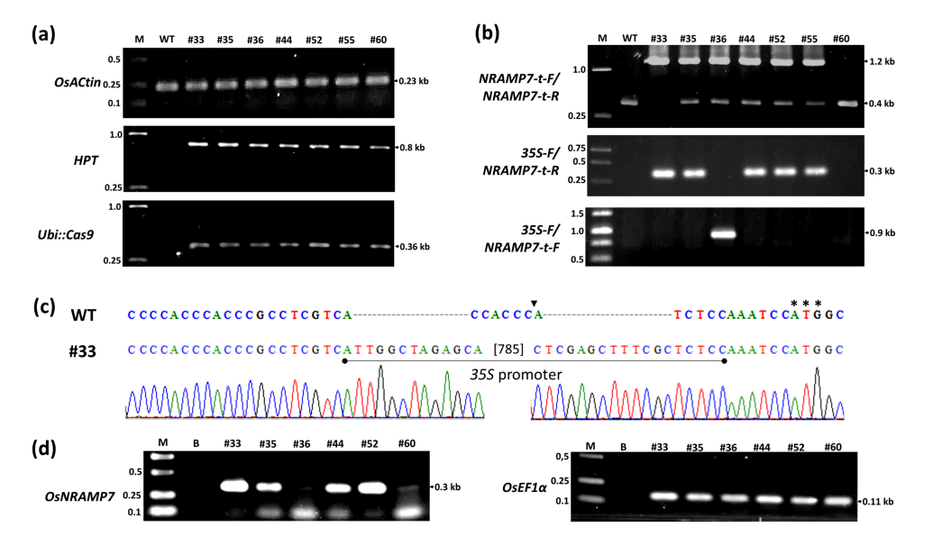
במהלך תהליך היישום, צוות המחקר תכנן ואימת בהצלחה ארבעה מבני CRISPR/Cas9 המכוונים לגנים של נשא מתכת OsNRAMP2, OsNRAMP5 ו-OsNRAMP7, כמו גם את וקטור pCRISPRa כדי לווסת את הביטוי של OsYSL2 - גנים הממלאים תפקיד מכריע בהובלה וצבירה של Fe, Zn ו-Cd באורז. תהליך עריכת הגנום וחידוש הצמחים פותח כדי לעמוד בקריטריונים ליעילות העברת גנים ויעילות מוטציה, מה שמאפשר יישום לזנים בעלי פוטנציאל חידוש גבוה. מתוך בסיס טכני זה, הצוות יצר ארבעה קווי אורז שעברו עריכה גנטית: R7-33.47, R5-01.59, R5-04.28 ו-R5-22.21; ניתוחים עצמאיים במכון למדע וטכנולוגיה חקלאיים וייעור של האזור ההררי הצפוני אישרו כי תכולת ה-Fe וה-Zn בזרעים גדלה בלפחות 10% ותכולת ה-Cd ירדה בלפחות 10% בהשוואה לזן המקורי.
בנוסף ליצירת קווי אורז מבטיחים בהצלחה, צוות המחקר השלים גם מערך מקיף של מוצרים מדעיים וטכנולוגיים, כולל: דו"ח המעריך את תכולת ה-Fe, Zn ו-Cd של מספר זני אורז פופולריים בווייטנאם; ותהליך לעריכת גנים הקשורים למיקרו-נוטריינטים באורז. באופן ספציפי, התהליך השיג יעילות התחדשות של >10% (מחושב על סמך המספר הכולל של רקמות יבלת), יעילות העברת גנים של >20% (מחושב על סמך המספר הכולל של צמחים שהתחדשו), ויעילות עריכת גן מטרה של >10% (מחושב על סמך המספר הכולל של צמחים הנושאים את הגן המועבר).

צוות המחקר פרסם 5 מאמרים בינלאומיים, כולל אחד במדעי הצמח, ו-4 מאמרים מקומיים; הם גם בנו מערכת נתונים לניתוח הרכב מינרלים, ביטוי גנים ועיצוב מבנה פלסמיד לתמיכה במחקר נוסף. הפרויקט גם השיג את יעדי ההכשרה שלו, כאשר 3 סטודנטים לתואר שני הדרכו והגנו בהצלחה על התזות שלהם, ותרמו לכוח עבודה איכותי בתחום הביוטכנולוגיה היישומית בחקלאות.
מבחינת השפעה מעשית, זני אורז עם ריכוז גבוה של Fe ו-Zn וריכוז נמוך של Cd מבטיחים יתרונות משמעותיים לביטחון התזונתי הלאומי, שכן אורז הוא מקור האנרגיה העיקרי עבור רוב משקי הבית הווייטנאמיים. הצטברות מופחתת של קדמיום בדגנים תורמת לבטיחות מזון משופרת ומפחיתה את הסיכון לחשיפה תזונתית ארוכת טווח.
מנקודת מבט כלכלית ושוקית, זני אורז משופרים עם ערכים תזונתיים משופרים יסייעו להעלות את מעמדו של האורז הווייטנאמי, לעמוד בתקני האיכות המחמירים של שווקי היצוא, ולהתאים את עצמם לאוריינטציית הפיתוח של חקלאות בעלת ערך גבוה. צוות המחקר זיהה גם את הצעדים הבאים כביצוע ניסויים מרובי אתרים, הערכת צמיחה ותנובה, הערכת בטיחות ביולוגית והעברת חומרים לעבודות גידול במכונים, אוניברסיטאות ומפעלי גידול צמחים.
הצלחת פרויקט זה מדגימה את הפוטנציאל הרב של טכנולוגיית עריכת הגנום בחקלאות הוייטנאמית, ויוצרת בסיס מדעי איתן לפיתוח זני אורז בטוחים יותר ובעלי ערך גבוה יותר, המועשרים במיקרו-נוטריינטים. בהקשר של צרכים תזונתיים גוברים ודרישות איכות האורז, להישגים אלה יש לא רק משמעות מחקרית אלא גם פותחים אפשרויות ליישום נרחב, התורמים לפיתוח מגזר חקלאי מודרני, בר-קיימא ומבוסס ידע.
מקור: https://daidoanket.vn/crispr-mo-duong-cho-nong-nghiep-viet-nam.html






תגובה (0)